2015.11.29.
A fogszuvasodásról
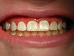
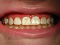
A fogmosás és fogselyem-használat célja, hogy eltávolítsuk a baktériumokból álló, folyamatosan újraképződő vékony, színtelen, ragadós filmréteget, a lepedéket. A lepedékben élő baktériumok lebontják az ételben lévő cukrokat, így savak képződnek, melyek oldják a fogzománcot, megnyitva az utat a fogszuvasodáshoz. Kezdetben csak egy fehér folt látszik a fogon (white spot), mely még aktív odafigyeléssel visszafordítható folyamat. Ez leggyakrabban fogszabályozás után látható a fogakon, a fix fogszabályozó eltávolítása után.
Természetesen ez nem a fix fogszabályozó mellékhatása, ez mindössze a kezelés során tanúsított nem megfelelő fogtisztítás következménye.
A fogszuvasodás (latinul: caries) legfőbb okozója a lepedék.
Ezután alakul ki a könnyebben felfedezhető barnás elszíneződés, mely még nem jár lyukképződéssel. Majd a legvégső állapot, amikor ténylegesen “kilyukad” a fog.
A szuvas fogban lyuk marad, miután az elhalt fogszövetet eltávolították. A fogon sokfelé kialakulhat szuvasodás. A rágófelületen úgy alakul ki szuvasodás, ha a lepedék megreked a barázdákban. Ez gyerekek esetén a leggyakoribb, mivel fogmosáskor ők gyakran kihagyják ezeket a területeket.
Mivel a fogak közötti réseket nehéz elérni, így ott gyakran marad lepedék. Ezekhez a területekhez csak fogselyemmel vagy interdentális fogkefékkel lehet eljutni, így rendszeres fogtisztítás nélkül könnyen kialakulhat a fogszuvasodás.
A foggyökér felületén a fogágy gyulladásos problémái miatt kialakult ínyvisszahúzódás miatt alakul ki szuvasodás. Idősebb korban az íny elkezd visszahúzódni, így gyakrabban alakul ki a foggyökér szuvasodása is.

Az előbbiekben említett fehér folt (white spot) jellemző képe látható felül.
Alul bal oldalt a látható a fogbarázdájában elhelyezkedő kezdeti szuvasodás, még “lyukasodás” nélkül.
Alul jobb oldalt a már “lyukas” fog.
Természetesen ezek az elváltozások könnyen kezelhetőek töméskészítéssel. Ellátásuk nem tűr halasztást, hisz előbb a utóbb a szuvasodás eléri a fogbelet, amikor is elkerülhetetlenné válik a fog gyökérkezelése.
Dr. Mayer Csaba
fogaszat-pest.hu








