2015.11.29.
Az implantáció kérdései 1. rész: MIKOR?
Ez a kérdés valószínűleg mindenkiben felmerült, akinek már legalább egy fogát eltávolították. A legtöbben egyből szeretnének fogat, egyesek túl sokat várnak a biztos gyógyulás reményében. Mi a jó időzítés? A fogelvesztés leggyakoribb oka a fogszuvasodás vagy a parodontózis (fogágybetegség), de…
Ez a kérdés valószínűleg mindenkiben felmerült, akinek már legalább egy fogát eltávolították. A legtöbben egyből szeretnének fogat, egyesek túl sokat várnak a biztos gyógyulás reményében.
Mi a jó időzítés?
A fogelvesztés leggyakoribb oka a fogszuvasodás vagy a parodontózis (fogágybetegség), de gyakran előfordul az is, hogy genetikai okok miatt egy-egy fog soha nem is nő ki (retenció, csírahiány). Magyarországon a 18 év fölötti lakosság mintegy 90%-ának legalább egy foga hiányzik.
Érdemes-e egyáltalán pótolni egy-egy hiányzó fogakat?
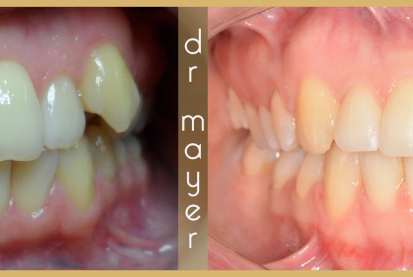
A fogak pótlása több szempontból is ajánlott. A foghiányok azonnali következménye, hogy a táplálkozásban és/vagy az esztétikában az egyén hátrányt szenved. Emiatt hosszabb távon szerepe lehet egyéb szervi problémák kialakulásában vagy a szociális élet jelentős megváltozásában. Ráadásul a szájüregben is végbemennek változások, mert a szomszédos fogak túlterhelődnek, a foghiány irányába dőlnek, az ellenoldali fog pedig meghosszabbodik, mintha kilógna a sorból, ezzel további gondokat okozva. Mindezek miatt érdemes minél előbb hiányzó fogaink pótlása.
De mégis mennyit célszerű várni egy fogeltávolítást követően, ha implantátumot szeretnénk?
Foghúzás után a gyökér méretének megfelelően kisebb-nagyobb űr marad vissza a csontban, aminek rendszerint 3-4 hónap szükséges a teljes regenerációjához. Ez azt jelenti, hogy ennyi idő alatt a foggyökér helye feltöltődik csonttal, és alkalmassá válik egy implantátum befogadására. A folyamat azonban itt nem áll meg. Ha az állcsontban nincs fog vagy implantátum, akkor idővel fokozatosan felszívódik, és néhány év elegendő ahhoz, hogy csak csontpótlással lehessen az implantációt elvégezni, ezzel meghosszabbítva és megbonyolítva a kezelést. Összességében elmondható, hogy a legoptimálisabb időszak, ami implantátum beültetésre alkalmas, az a fogeltávolítást követő 3-12 hónapban van. A köztes időszakra ideiglenes fogpótlás készül, csökkentve a fohiány okozta kellemetlenségeket. Természetesen ez nem jelenti azt, hogy akinek 1 évnél jóval több idő telt el, annak biztosan nem lehet implantátumot beültetni vagy hogy biztosan rossz a megmaradt csontállomány. Minden esetben röntgen felvételek, több implantátum esetén 3D CT felvétel alapján tervezzük meg a kezelést, az aktuális csontviszonyok legpontosabb ismerete mellett. Az implantátumon elhorgonyzott fogpótlások, legyen az egy korona, egy híd vagy akár egy teljes protézis, mindig kímélik a saját fogakat és mindig nagyobb stabilitást adnak, mint más fogpótlások, és a tisztításuk is egyszerűbb. A páciens tulajdonképpen új “foggyökereket” kap, amire könnyedén tud a fogorvos koronát készíteni a szomszédos fogak “feláldozása nélkül”.
Kíváncsi, hogy Ön számára melyik az ideális fogászati implantátum az Ön számára? A kérdésre válasz csak szakorvosi konzultáció keretein belül adható!
Ha szeretné nálunk elkezdeni fogbeültetését, akkor kérjen tőlünk időpontot egy teljes körű szakorvosi konzultációra:
Minőségi fogbeültetés Budapesten!
Vegye igénybe az Optimum fogászat fogbeültetés szolgáltatását Budapesten. Bizalommal fordulhat hozzánk, mert a rendszeres külföldi továbbképzések miatt mind szakmailag, mind eszközileg száz százalékig naprakészek vagyunk, így garantáljuk bármilyen foghiányt képesek vagyunk ellátni. Célunk, hogy barátságos és korszerű körülmények között, minden páciensünk számára professzionális, fájdalommentes, valamint esztétikus szakellátást, illetve utókezelést nyújtsunk. Várjuk megkeresését, hogy az Ön fogászati problémáin is segíthessünk!






