2016.12.14.
Fogkontúrálás, becsiszolás és interproximális redukció (strippelés)
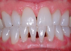
Amikor a legtökéletesebb esztétikai és funkcionális eredményt szeretnénk elérni, akkor szinte minden esetben – főleg felnőttkori fogszabályozás esetén – szükséges ezeket a teljesen biztonságos eljárásokat használnunk. Viszont sok páciens elkezd lefehéredni, mikor elkezdjük részletezni mit is takarnak ezek a szavak….
Amikor a legtökéletesebb esztétikai és funkcionális eredményt szeretnénk elérni, akkor szinte minden esetben – főleg felnőttkori fogszabályozás esetén – szükséges ezeket a teljesen biztonságos eljárásokat használnunk. Viszont sok páciens elkezd lefehéredni, mikor elkezdjük részletezni mit is takarnak ezek a szavak. Pedig ezek az eljárások semmilyen veszélyt nem rejtenek magukban.
Az arcesztétikai és a mosolytervezési szempontokat figyelembe véve az elülső fogak formája, mérete és pozíciója határozza meg leginkább a végeredményünket. Azonban amikor még a fogak kuszán állnak a laikus szem sokszor nem veszi észre, ha a fogak éle letöredezett, ferdére kopott; ha előnytelen lapátszerű fogak vannak; a szemfogak kifejezetten csücskösek, amik nem szépek. A fogszabályozás végére ezek az esztétikai problémák nagyon sokat rontanak az eredményen. A fog kontúrálás során ezeket a hibákat tüntetjük el úgy, hogy a megfelelő finom fúrókkal, reszelőkkel és polírozókkal pár tized millimétert elveszünk a fogakból, így a hibás részeket széppé, esztétikussá varázsoljuk. Így – természetesen páciensünk beleegyezésével – például a töredezett vagy ferdére kopott metszőfog éleket kiegyenesítjük, a túl hegyes szemfogcsücsköket és rágófog csücsköket lekerekítjük.

Interproximális redukciót (egyszerűbben strippelést) fogkontúrálásként és helyteremtésként is használunk.
Fogkontúrálásként:

Helyteremtésként:
Ha a metszőfogak kifelé dőlnek és más további helyteremtésre nincsen mód, akkor a fogközökből, speciális reszelők segítségével maximum fél millimétert eltávolítunk, ezáltal megteremtve a helyet a fogak hátrébb döntéséhez és egy szebb mosoly eléréséhez. Ezt az eljárást alkalmazhatjuk középvonal eltérések korrigálásához is.

Becsiszolást a fogszabályozó kezelés utolsó fázisában szoktunk alkalmazni. A fogszabályozás végére az alsó és felső fogak többnyire új pozícióban találkoznak egymással, mivel ezt a helyzetet relatív gyorsan érik el, nincsenek tízen évek a fogak összekopására, ezért sokszor korai érintkezések zavarják a kényelmes összezárást. Ilyenkor finom fúrókkal segítünk a fogak gyors “összekoptatásában”, hogy a fogívek a lehető legnagyobb felületen érintkezzenek egymással. Ez a lépés, ha szükséges, akkor nagyon fontos az állkapocsízület épségének a szempontjából!
Ártalmasak a fogaknak ezek a beavatkozások? Nem fognak így hamarabb szuvasodni?
Természetesen a páciensek ilyen gondolatok miatt ijednek meg először… pedig a megfelelő technikákat alkalmazva a fog élettartamát egyáltalán nem befolyásolják! Sőt tekintve, hogy így tudunk megoldani egy korai érintkezést vagy egy torlódást feloldani, a fogak hosszabb élettartammal fogják inkább meghálálni. A zománc teljes vastagságát tekintve nem jelentős az a mennyiség, amennyit ilyenkor eltávolítunk. Legrosszabb esetekben pár napig fennálló hideg-meleg érzékenységről szoktak pácienseink beszámolni.
Szeretnénk még egyszer nyomatékosan hangsúlyozni, hogy a fogkontúrálástól, strippeléstől egy fogszabályozási eredmény csak több lesz, így minden páciensünk saját belátására bízzuk, hogy beleegyezik-e ezekbe a kezelésekbe!
Dr. Mayer Csaba
fogszabályozó szakorvos
Ha szeretné nálunk elkezdeni fogszabályozó kezelését, akkor kérjen tőlünk időpontot egy átfogó szakorvosi fogszabályozási konzultációra.
Minőségi fogszabályozás Budapesten!
Vegye igénybe az Optimum fogászat fogszabályozás szolgáltatását Budapesten. Bizalommal fordulhat hozzánk, mert a rendszeres külföldi továbbképzések miatt mind szakmailag, mind eszközileg száz százalékig naprakészek vagyunk, így garantáljuk bármilyen fogszabályozási problémát képesek vagyunk ellátni. Célunk, hogy barátságos és korszerű körülmények között, minden páciensünk számára professzionális, fájdalommentes, valamint esztétikus szakellátást, illetve utókezelést nyújtsunk. Várjuk megkeresését, hogy az Ön fogászati problémáin is segíthessünk!






