Skip to main content

Fogszabályozás

A fogszabályozás ma már nem csak a fogak sorba rendezését jelenti. Az egyéni arcesztétikai szempontokat figyelembe véve mosolyokat tervezünk, így elérhetjük a kezelés végére azt az eredményt, amelyre mindenki vágyik: a csodálatos mosolyt. Ráadásul az esetek közel 100%-ban foghúzás és műtét nélkül! Szeretné már az első fogszabályozás konzultáción megtudni, mennyi lesz a teljes kezelés az aktiválásokkal, ívcserékkel együtt? Mi megmondjuk a pontos árat, nincs rejtett költség! Fogszabályozás témakörében sok tévhit forog közkézen. Olvassa el az alábbiakat és biztosan sok kérdésére választ kap. Ha további kérdései merülnének fel a fogszabályozással kapcsolatban keressen fel minket és részletes tájékoztatást kaphat!

Vegyen részt egy átfogó és minden kérdésére választ adó konzultáción az Optimumnál! Az első egy órás konzultáció mindössze 30.000 Ft és amennyiben minket választ ezt a költséget jóváírjuk a kezelések során!

Válassza ki milyen típusú fogszabályozás érdekelné Önt:

Kezeléseinkkel elért eredményeink:

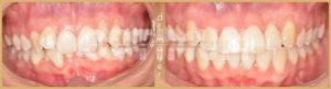
Felnőtt fogszabályozás referencia

Páciens: 22 éves, hölgy

Kezelési idő: 13 hónap Páciensünk esztétikai fogszabályozás miatt kereste fel rendelőnket. Szájvizsgálat után az alsó és felső fogív súlyos torlódását találtuk.

RÉSZLETEK

Farkasfogak fogszabályozás

Páciens: 31 éves, nő

Kezelési idő: 14 hónap Nagyon sokan fordulnak a kiálló felső szemfogak problémájával hozzánk, mert rendkívül előnytelenné teszi a mosolyt. Szerencsére könnyen tudunk rajta segíteni, a megfelelő rögzített fogszabályozó kiválasztása után

RÉSZLETEK
Tekintse meg további referencia munkáinkat

RÖGZÍTETT FOGSZABÁLYOZÁS

Napjainkban a nem jelent kihívást még 50-60 éves korban sem a fogszabályozás. Sőt vannak olyan esetek, amikor egy-egy foghiány korrigálásaként is felmerülhet a fogszabályozás vagy fogpótlások készítésének megelőző kezeléseként is szükség lehet rá. Természetesen felnőtt pácienseinknél a legfőbb szempont a láthatatlan fogszabályozás, melyre szintén van lehetőség rendelőnkben.

Esztétikai lehetőségek

Napjainkban hétköznapi dolog a fogszabályozás mind a felnőtteknél, mind a gyerekeknél. Az egyre modernebb esztétikus készülékeknek köszönhetően a kezelés sokszor szinte észrevehetetlen, így olyanok is belevághatnak, akik számára a fém készülék nem elfogadható. A zafírból/porcelánból készülő fogszabályozó készülékek színe közel megegyezik a legtöbb ember fogszínével. Viszont rendelőnkben elérhető az amerikai H4Go önligírozó fogszabályozó brackettek, melyek teljesen átlátszóak és nincsen szükség náluk a hagyományos készülékeknél rendszeresen elsárguló kis gumikra sem, így elérve a szinte ‘láthatatlan fogszabályozást’.

Bizonyos esetekben lehetőség van a nyelv felöl rögzíteni a fogszabályozót, így a fogszabályozás folyamata külső megjelenést semmilyen mértékben nem változtatja meg. Napjainkban a különböző sínes rendszerek (Invisalign) megjelenése miatt, a nyelv felöli rendszerek drasztikusan háttérbe szorultak. Nem csoda, hiszen hasonló esztétika mellett sokkal kényelmesebbek és a kezelési eredmény is jobb. Ráadásul az iTero scanner segítségével készített digitális terven a végső eredmény is már a kezelés előtt látható!
Ha bármilyen további kérdése merülne fel a rögzített fogszabályozókkal kapcsolatban keressen fel minket az alábbi elérhetőségek valamelyikén és kérjen szakorvosi konzultációt:

MELYIK RÖGZÍTETT FOGSZABÁLYOZÓ KÉSZÜLÉKET ÉRDEMES VÁLASZTANI?

Az konzultációk során a legfőbb lépés a használni kívánt fogszabályozó típusának a kiválasztása. Hosszú évek tapasztalata alapján válogattuk ki az általunk használt rendszereket, melyek a megfelelő esetben használva képesek tökéletes eredményt biztosítani. Alább próbálunk pár tulajdonságukra rávilágítani, ami segíthet a döntésben:

DAMON Q / H4 fém, 1. generációs lágyerőkkel dolgozó, önligírozó fogszabályozó

modern fogszabályzó készülék

Talán az egyik legismertebb fogszabályozó készülék. A lágyerőkkel dolgozó, önligírozó fogszabályozó készülékek a rövidebb kezelés időt, a foghúzások elkerülésének lehetőségét hordozzák magukban. Felnőttkori fogszabályozás és súlyosabb eltérések korrigálására a egyik legjobb választás. Sokak számára hátrány, hogy a készülék teljesen fém, de fontos tudni, hogy segítségükkel tudjuk legbiztosabban elérni a mindenki által vágyott gyönyörű mosolyt! Felső kategóriás fogszabályozó, a legmodernebb kezelési protokollokkal. Teljes kezelés ára, részletfizetéssel, aktiválásokkal, ívcserékkel együtt: 600.000.-/fogív*

H4GO esztétikus, 1. generációs lágyerőkkel dolgozó, önligírozó fogszabályozó

esztétikus fogszabályzó

A lágyerőkkel dolgozó, önligírozó fogszabályozó készülékek a rövidebb kezelés időt, a foghúzások elkerülésének lehetőségét hordozzák magukban. Ez a ma elérhető legesztétikusabb önligírozó fogszabályozó. Cserébe viszont sérülékenyebb is, ezért a pácienstől nagyobb odafigyelést követel. Súlyosabb eseteknél a brackettek sérülékenysége és a megnövekedett kezelési idő miatt, nem a legjobb. Enyhe és közepes eltérések korrigálására, magas esztétikai igényű pácienseknél viszont jó választás. Felső kategóriás fogszabályozó, a legmodernebb kezelési protokollokkal. Teljes kezelés ára, részletfizetéssel, aktiválásokkal, ívcserékkel együtt: 690.000.-/fogív*

Pitts21 fém, 2. generációs lágyerőkkel dolgozó, önligírozó fogszabályozó

pitt21

A világ legmodernebb rögzített fogszabályozó rendszere, amellyel akár 9 hónap alatt, teljes biztonságban tudjuk a lehető legjobb eredményt elérni. Egyesít minden elméleti és technológiai tudást, amit jelenleg tudunk a fogszabályozásról. Azoknak ajánljuk, akik a lehető legrövidebb kezelési időt szeretnék és a kezelési eredményben a lehető legkevesebb kompromisszumot hajlandóak elfogadni. Felnőttkori fogszabályozás és súlyosabb eltérések korrigálására a legjobb választás! Bővebben a Pitts21 rendszerről, itt olvashat! Prémium kategóriás fogszabályozó, a legmodernebb kezelési protokollokkal. Teljes kezelés ára, részletfizetéssel, aktiválásokkal, ívcserékkel együtt: 750.000.-/fogív*

In-Ovation L nyelv felöl rögzített fogszabályozó

Lényegesen kényelmetlenebb viselet, mint a külső fogszabályozó, de cserébe első osztályú esztétikai eredmény. Tulajdonképpen az egyetlen teljesen láthatatlan fogszabályozó rendszer. A készülék viselése miatti kényelmetlenségek miatt ma inkább az Invisalign kivehető, láthatatlan fogszabályozót ajánljukSúlyosabb torlódások vagy funkcionális eltérések kezelésére ma már léteznek jobb választások. Teljes kezelés ára, részletfizetéssel, aktiválásokkal, ívcserékkel együtt: 750.000.-/fogív*

*Erősen torlódott vagy egyéb szélsőséges esetekben a fogszabályozó kezelés során felhasznált kiegészítő elemek nagy száma miatt lehetetlen személyes konzultáció nélkül pontos árakat feltüntetni, ezért ilyen esetekben pár ezer forintos többlet költségre lehet számítani

LÁTHATATLAN FOGSZABÁLYOZÁS

Az Optimumnál évek óta kiemelten foglalkozunk a digitális, láthatatlan fogszabályozással, ezért nem csak a kisebb, de a nagyobb eltérések helyreállítására is alkalmas az Invisalign és az iTero technológiájának köszönhetően.

itero scanner

A fogszabályozás ma már nem csak a fogak sorba rendezését jelenti.Az egyéni arcesztétikai szempontokat figyelembe véve mosolyokat tervezünk, így elérhetjük a kezelés végére azt az eredményt, amelyre mindenki vágyik: a csodálatos mosolyt. Ráadásul az esetek legnagyobb részében foghúzás és műtét nélkül! 

Szeretné már az első fogszabályozás konzultáción megtudni, mennyi lesz a teljes kezelés az aktiválásokkal, ívcserékkel együtt? Mi megmondjuk a pontos árat, nincs rejtett költség!

Fogszabályozás témakörében sok tévhit forog közkézen. Olvassa el az alábbiakat és biztosan sok kérdésére választ kap. Ha további kérdései merülnének fel a fogszabályozással kapcsolatban keressen fel minket és részletes tájékoztatást kaphat! Az első konzultáció díja mindössze 30.000 Ft, amely teljes körű, átfogó tájékoztatást tartalmaz. Ráadásul, ha minket választ a kezelés során jóváírjuk Önnek az összeget!

fogszabályozás egyik legnépszerűbb eleme ma a digitális, láthatatlan Invisalign fogszabályozó.

Mi az az Invisalign?

budapesten láthatatlan fogszabályozásAz Invisalign szinte láthatatlan és kivehető módszert kínál a fogsor kiegyenesítésére és álmai mosolyának elérésére. Az iTero digitális scanner 3D képalkotási technológiáját használva az Invisalign leképezi a teljes kezelési tervet a fogak kiinduló helyzetétől kezdve a kívánt végleges helyzetig. Ezt követően személyre szabottan elkészül az átlátszó fogszabályozó sínek sorozata, amelyek kizárólag az Ön fogaihoz alkalmasak, és lépésenként mozgatják a fogait. Mindegyik fogszabályozó sínt 7 napig viseli (napi 20-22 órát), mielőtt váltana a sorozat következő tagjára, így fogai lépésről lépésre haladnak előre a kijelölt végleges helyzetig.

Mitől több az Invisalign, mint a többi sínes fogszabályozó?

1

SmartTrack sín anyag

Egyedül az Invisalign által használt sínek elég rugalmasak, hogy a le-felhelyezéstől, ne táguljanak ki, de elég erősek, hogy a szükséges erőt a fogakra kifejtsék. Ezért lehetséges, hogy más rendszerekkel ellentétben, már 7 naponta lehet a síneket cserélni és a fogak akár másfél éves kezelés alatt is tökéletesen követik a tervet.
2

Smart Force Aligner

2020-ban megjelent Invisalign G8 legfontosabb fejlesztése, mellyel a sínek, akár egy fogon belül is képesek különböző erőleadásra, így létrehozva egy kontrolláltabb, sikeresebb fogmozgatást.
3

iTero digitális scanner

A 3D lenyomatnak köszönhetően, úgy tudunk együtt dolgozni egy amerikai céggel, mintha a szomszéd utcában lenne. A digitális lenyomatnak köszönhetően a sínek mindig tökéletesen rásimulnak a fogakra.
4

Clincheck szoftver

Ezzel a digitális tervező platformmal kivitelezhető, hogy nem csak orvosi felügyelettel készûljenek a kezelési tervek, hanem a kezelési tervet konkrétan a kezelőorvos készíti el. Így van lehetőség alkalmazni sok, már a modern rögzített fogszabályozóknál bevált, biomechanikát és komplex kezeléseket elvégezni.
5

Inface visualisation

A 2020-ban megjelent fejlesztés, melynek segítségével lehetőségünk van mosolyterv készítésére, ezzel megvalósítva a lehetőségét az arcesztétika vezetett fogszabályozó kezeléseknek. Dinamikusan, a kezelési terv készítése közben van lehetőség értékelni, hogy a fogmozgatási irányok ne csak sorba rendezzék a fogakat, hanem a mosolyból is a legtöbbet hozzák ki.
6

Virtual Care

A kezelés folyamán a páciens egy pontos útmutatót kap, hogy a síneket mikor és hogyan kell cserélni, ezért elegendő átlagosan 2 havonta kontrollon megjelenni. Viszont amennyiben a páciens bizonytalanságot érez, egy telefonos applikáció segítségével megfelelő felvételeket tud készíteni és küldeni a kezelőorvosnak, aki így ellenőrizheti a helyzetet és szükség esetén idő előtti kontrollra hívhatja a pácienst. De így elérhető, hogy egy 2020. tavaszán történt lezárás esetén se álljon meg a kezelés.
7

SmartForce Optimized Attachment

Az invisalignhoz kifejlesztett, a fogakra felragasztott, fogszinű, apró kapaszkodok, melyek segítségével komplex fogmozgatások is kivitelezhetőek.

Mikor ajánljuk a láthatatlan fogszabályozót?

  • Az Invisalign technológiai fejlettségének köszönhetően az esetek 95%-ban tökéletes megoldást nyújt
  • Ha bármilyen okból fontos Önnek, hogy a fogszabályozó kezelése láthatatlan legyen
  • A legmodernebb digitális eszközöket és technikákat szeretné, hogy használják fogsorán
  • Úgy érzi, hogy életében vannak olyan események, amikor nem szeretné pár óráig hordani fogszabályozóját
  • Fém allergiája van, ezért nem lehet rögzített fogszabályozója (Még az esztétikus rögzített készülékeknél is használunk valamennyi fémet!)
  • Szeretné elkerülni a rögzített fogszabályozóval járó étkezési és fogmosási nehézségeket

Milyen kezelések esetén használható? Miben más az Invisalign láthatatlan fogszabályzója?

láthatatlan fogszabályozás BudapestenA legtöbb láthatatlan fogszabályozó készüléket általában csak kisebb torlódások korrigálására alkalmazhatjuk. Az iTero scanner és az Invisalign technológiájának köszönhetően szinte bármilyen kezeléshez nagy biztonsággal lehet használni az Invisalign fogszabályozót. A fogmozgatás pontossága sokkal jobb, mint a rögzített esztétikus fogszabályozóknak! Ezért így akkor is lehet láthatatlan fogszabályzója, ha:

  • Jelentős fogtorlódása van
  • Rések vannak a fogai között
  • A felső fogai előre állnak
  • Mély- vagy nyitottharapása van
  • Keresztharapása van

A lehetőség, hogy ezt a módszert válassza, tehát ezen problémák esetében is meg van, a konzultáció során kollégánk részletesen tájékoztatja lehetőségeiről.

Miből készülnek ezek a fogszabályozók és hogy néznek ki?

A szinte láthatatlan fogszabályozók erős, orvosi alkalmazásra használható, kifejezetten az Invisalign rendszerhez kifejlesztett, egyedi, termoplasztikus anyagból készülnek. A fogszabályozók személyre szabottan készülnek az Ön számára, és pontosan illeszkednek a fogaira. Többek között az Invisalign által használt anyagok teszik lehetővé, hogy ezzel a készülékkel szinte minden fogszabályozási feladat elvégezhető, ellentétben sok hasonló technológiát használó termékkel.

Mennyi ideig tart egy ilyen kezelés?

A kezelés teljes időtartama egyénenként változó és a kezelés összetettségétől függ. Egyszerűbb eseteknél a kezelés lényegesen gyorsabb, mint rögzített fogszabályozókkal (kezelési idő átlagosan 4-8 hónap). Komplexebb kezeléseknél a kezelési idő hasonló a modernebb rögzített fogszabályozókéhoz (kezelési idő átlagosan 14-20 hónap).

Megéri ezt a megoldást választanom?

A legjobb fogszabályzó készülék megtalálását bízza mindenképp szakemberre. Amennyiben van elképzelése feltétlen ossza meg szakorvosunkkal igényeit, ő pedig legjobb tudása szerint fogja ajánlani a legjobb megoldást. Az Invisalign-nak fogszabályozónak számos előnye van, láthatatlan, kényelmes, rugalmasabban hordható és nálunk a kivitelezés legmodernebb megoldásokkal párosul. Amennyiben élni szeretne ezen előnyökkel, a fogszabályozási konzultáció során megvizsgáljuk a lehetőségeket!

HOGYAN ÉPÜL FEL EGY FOGSZABÁLYZÓ KEZELÉS?

01. Első konzultáció

Mindenképp szükséges egy személyes konzultáció, mely folyamán a páciensünk rávilágít, hogy miért is szeretne fogszabályozó kezelést. Digitális iTero lenyomat, száj- és mosolyképek segítségével készül egy kezdetleges terv, amivel körülbelül meghatározzuk, hogy milyen kezeléssel, milyen készülékekkel tudunk eredményt elérni. Továbbá a kezelési ár is 90%-os pontossággal meghatározásra kerül.

Az első konzultáció díja 30.000 Ft, amit jóváírunk Önnek, amennyiben minket választ!

02. Kezelési terv készítés

Ezen alkalommal tájékoztatjuk a konzultáció után kiválasztott készülékkel készült pontos tervről Önt. Ügyelünk rá, hogy a fogai ne csak sorban álljanak, hanem az elkészült mosoly harmonizáljon az arcával. Többféle röntgen felvétel, iTero digitális lenyomatok és arc- és szájfotó analízisek után, meghatározzuk a pontos kezelési tervét, illetve a szükséges kiegészítő kezelések szükségességét (pl.: harapásemelők, logopédia…)

03. Fogszabályozó kezelés

Tulajdonképpen ekkor kezdődik a tényleges fogszabályozó kezelés, melynek hosszát a kezelni kívánt probléma súlyossága határozza meg. Természetesen célunk a kezelés időtartamának minimalizálása, melyre próbálunk többféle megoldást is javasolni.

04. Elért eredmény megőrzése

Aktív fogszabályozó kezelés ekkor már nem történik. Ebben a fázisban törekszünk az elért eredmény megőrzésére különböző éjszakai készülékekkel vagy a nyelv felőli oldalról rögzített helybentartó ívekkel, melyekkel a visszaalakulás esélyét minimálisra lehet csökkenteni.

Referencia esetek, sikertörténetek

Blog

Retenciós készülék – Mire jó és hogyan hord helyesen?

| Fogszabályozás | No Comments
Az aktív fogszabályozás során végzett fogak helyes pozícióba való mozgatását követően rendkívül fontos, hogy a fogak megtartják ezt a kialakított helyzetüket. Ezért kiemelt jelentőségű a fogszabályozás retenciós szakasza, amelynek célja a fogak megtartása. A fogszabályozó eszköz eltávolításakor egy speciális retenciós…
invisalign mobilapplikáció

Invisalign mobilapplikáció – A digitális fogászat segítője

| Fogszabályozás | No Comments
Az Optimum fogászatnál elkötelezettek vagyunk a legmodernebb technológiák alkalmazása mellett, azért, hogy pácienseinknek időt és energiát spóroljunk. Az Invisalign ebben pedig igazi társ: a mobilapplikációnak köszönhetően gyorsabb és egyszerűbb kommunikáció jöhet létre szakorvosunkkal, ráadásul személyes jelenlét nélkül. Cikkünkből jobban megismerheted…

Invisalign – A fogszabályozás legmodernebb megoldása

| Fogszabályozás | No Comments
Fedezd fel a fogszabályozás legmodernebb megoldását az Invisalign technológiáját! Segítségével gyorsan és kényelmesen nyerheted vissza magabiztos mosolyodat. Mondj búcsút a fém kereteknek és drótoknak! Ez nem csak esztétikai előnyt jelent, hanem kevesebb kontrollt is. Az Invisalign a legtöbb fogszabályozási problémára…

GYIK

Mennyibe kerül a fogszabályozás?

A fogszabályozás ma már anyagilag is egy elérhető szolgáltatás. A konkrét árat természetesen befolyásolja, hogy pontosan milyen típusú fogszabályzót igénylünk, és mennyi ideig kell azt hordanunk. A pontos árak elérhetőek honlapunkon, illetve az első személyes konzultáció alkalmával véglegesítjük is azt. Így semmilyen zsákbamacskával nem kell számolni.

Mit kell tudni az első konzultációról?

Vegyen részt egy átfogó és minden kérdésére választ adó konzultáción az Optimumnál!

Az első egy órás konzultáció többek között a következőket tartalmazza:

– A fogazat digitalizálása iTero intraorális scannerrel, mely segítségével azonnal tudunk egy előzetes látványtervet készíteni. Így laikusként sem kell elképzelni, hogy milyen eredményre számíthat.

–  Nagy felbontású státuszképek készülnek a kiindulási állapotról, mosolyról, hogy már az első pillanattól kezdve ne csak a fogaival, hanem a mosolyával is tudjunk foglalkozni.

–  Dr. Mayer Csaba fogszabályozó szakorvossal az összes kérdését át tudja beszélni, illetve egy előzetes terv készül, melynek segítségével pontosabb képet kaphat a lehetőségeiről.

Amennyiben pedig minket választ a konzultáció díját (30.000 Ft) jóváírjuk a kezelés során! Az első egy órás konzultáció során pontos, írásos kezelési tervet nem készítünk.

Milyen típusú fogszabályozó készülékek közül választhatok?

A fogszabályozás két nagy csoportba osztható: rögzített és láthatatlan fogszabályozás.

A rögzített fogszabályozás esetén a legfontosabb, hogy a megfelelő készüléket sikerüljön megtalálni, amelyben természetesen segítünk.

Láthatatlan fogszabályozás esetén Invisalign technológiával dolgozunk, amelynek köszönhetően a legkényelmesebb és legtökéletesebb állapotot kapjuk, hogy végül tökéletes legyen a mosolyunk.

Mikor érdemes a láthatatlan fogszabályozást igénybe venni?

Az Invisalign technológiának köszönhetően az esetek 95%-ban lehetőségünk van ezt a fajta kezelési módot kérni. Amennyiben fontos számára, hogy ne látszódjon a fogszabályzó, fém allergiája van vagy örülne, ha pár órára lehetősége lenne levenni, akkor ez egy kiváló lehetőség.

Van ma már alternatíva a kusza fogak kezelése a fogszabályzón kívül?

Nincs, jelenleg csak a fogszabályozás technológiájával oldható meg a fogak esztétikai kezelése. Szerencsére folyamatosan fejlődik a technológia így ma már egyre kényelmesebb és gyorsabb megoldásokat tudnak felkínálni a szakemberek.

Mennyi ideig kell hordani a fogszabályzót?

A fogszabályzót átlagosan 1-1,5 évig kell hordani. Hosszabb időre extrém jellegű eltorlódások kezelése esetén lehet szükség.

Felnőtt korban is érdemes belevágni?

Természetesen! Ugyan a fogszabályozó hordását gyermekkorban (10-15 évesen) érdemes leginkább elkezdeni, azonban felnőtt korban is ugyanolyan látványos eredmények elérhetőek el.

Érdemes akkor is kezelni, ha engem esztétikailag nem zavarnak a fogaim?

Igen. Fontos kiemelni, hogy pl. a torlódás, mélyharapás nem csak esztétikai gond, hanem például korai foghulláshoz is vezethet. Így az elsődleges gondolatunk fogaink egészsége legyen, ne pedig csak az esztétikai kérdés.

Változik majd a beszédem a fogszabályzónak köszönhetően?

Az esetek többségében nem történik semmilyen változás, azonban valóban időbe telhet, amíg megszokjuk a viselését és ez az első időszakban okozhat nehézséget a beszédben. Hosszú távon azonban semmilyen változás nem várható.

Nem szeretném, hogy a gyermekem szenvedjen. Nagyon fájni fog neki?

A fájdalom nagyon relatív, korábbi gyermek pácienseink visszajelzése alapján is nagyon gyorsan hozzászoknak a készülékhez, így ez ne akadályozza, ha gyermekének fogszabályzóra van szüksége.

Kell foghúzásra számítanom?

A mai modern technológiáknak köszönhetően a legritkább esetben van csak foghúzásra szükség, így mindent megteszünk, hogy ezt elkerüljük. Az első konzultáción többek között ezekre is konkrét választ tudunk adni.

Versenyszerű sportoló vagyok: így is vállaljam a fogszabályzó viselését?

A mai modern technológiáknak köszönhetően a legritkább esetben van csak foghúzásra szükség, így mindent megteszünk, hogy ezt elkerüljük. Az első konzultáción többek között ezekre is konkrét választ tudunk adni.

Versenyszerű sportoló vagyok: így is vállaljam a fogszabályzó viselését?

Minden esetben megfelelő fogvédőt szükséges ilyenkor használni, azonban erős, testi ütközés esetén történhet sérülés. Javasoljuk, hogy életmódjáról mindenképp részletesen tájékoztassa a fogszabályzó szakorvost!

Elektromos fogkefém van – fogszabályzóval is használhatom?

Természetesen e miatt nem kell hagyományos fogkefére váltanunk. Egyes esetekben maximum sűrűbben szükséges cserélnünk majd a fejet.

Kapcsolatfelvétel

Kérdés, időpontfoglalás esetén keressen minket bátran az alábbi űrlap kitöltésének a segítségével.

    Kérjük adja meg személyes adatait


    A * jelölt mezők kitöltése kötelező. Az adatokat kizárólag kapcsolatfelvételhez használjuk, marketing tevékenységre nem!


    Elérhetőségeink

    Kapcsolat

    telefon
    06-30/5637-537 (munkanapokon 10-18 között)
    terkep
    1094 Budapest, IX. kerület
    (Rehabilitációs terület),
    Viola utca 39.
    (Viola utca Tűzoltó utca sarok)

    Nyitva tartás

    Fogszabályozó szakrendelés

    nyitvatartas
    Hétfő 8:00-16:00
    Kedd 14:00-20:00
    Szerda 8:00-14:00
    Csütörtök 14:00-20:00
    Péntek 8:00-15:00

    Dentálhigiéniai rendelés

    nyitvatartas
    Hétfő 16:00-20:00
    Kedd 8:00-13:00
    Szerda 14:00-20:00
    Csütörtök 8:00-14:00

    Megközelítés

    metro
    Klinikák 3-as metró állomástól 2 perc gyalog
    villamos
    4-6 villamos Mester utcai megállótól 6 perc gyalog
    auto
    Jelen pillanatban zajló építkezések miatt autóval az Üllői útról bekanyarodva a Viola utca felől érdemes a rendelőt megközelíteni. Parkolás napközben az utcán megoldható vagy 450 méterre a Liliom utcában található parkolóházat érdemes igénybe venni!