2016.11.15.
Hogy marad stabil a fogszabályozási eredményem?
Ezt a cikket három esetben fogja valaki elolvasni: 1. A bosszús: Régebben volt fogszabályozó kezelése,de sajnos a fogai visszamozdultak. 2. A kíváncsi: Aki szeretne fogszabályozót, de már hallott róla, hogy sokaknak visszarendeződött a foga fogszabályozó kezelés után. 3. A boldog: Először…
Ezt a cikket három esetben fogja valaki elolvasni:
1. 
2. A kíváncsi: Aki szeretne fogszabályozót, de már hallott róla, hogy sokaknak visszarendeződött a foga fogszabályozó kezelés után.
3. A boldog: Először is szeretnék neked GRATULÁLNI a csodálatos új mosolyodhoz. Most fejeztük be a rögzített fogszabályozós kezelésedet és azt a házi feladatot kaptad, hogy olvasd el ezt a cikket.
Egy tökéletesen elvégzett fogszabályozó kezelés is vissza tud rendeződni, de a visszarendeződés elkerülhető! Nézzük hogyan:
Miért rendeződhetnek vissza a fogak?
Sok oka lehet a helytelen fogszabályozó kezeléstől a legegyszerűbb funkcionális eltérésekig. A teljesség igénye nélkül felsorolnék párat, ami
– Bölcsesség fogak el nem távolítása
– Helyben tartó készülékek viselésének hiánya
– Csak egy fogíven történt rögzített fogszabályozós kezelés
– Funkcionális eltérések (pl.: nyelvlökéses nyelés), rossz szokások (pl.: szájlégzés) nem kezelése
– Nem megfelelő fogszabályozó kezelés
A kialakult helyzet egyszer a páciens hibája, máskor az előző kezelőorvosé. A tapasztalatom alapján a leggyakoribb probléma az, hogy páciensek azt gondolják: azzal, hogy lekerült a rögzített fogszabályozó vége a fogszabályozó kezelésnek. A valóságban a készülék eltávolítása mindössze annyit jelent, hogy egy következő lépésbe lép a fogszabályozás. Ezt hívják retenciós fázisnak. A retenciós fázis, azt ott használt helyben tartó készülékek, a hozzájuk tartozó viselési szabályok és a kontroll időpontok hivatottak az rögzített fogszabályozóval elért eredményt megőrizni, ’stabillá’ tenni.
Mik a leggyakrabban használatos retenciós/helyben tartó fogszabályozó készülékek?
Mélyhúzott sín:
Rendkívül kényelmes, átlátszó, 1mm vastag fólia, ami csak a fogíven helyezkedik el. Előnye: kényelmes, láthatatlan, kivehető. Hátránya: kivehető, fél-egy év alatt elkopik, már kismértékű elmozdulás esetén sem használható.
Hagyományos retenciós készülék:
Gyerekkori kivehető készülékekhez nagyban hasonlító. Manapság leginkább fiatalkorú pácienseknél használjuk. Előnye: körültekintő használat mellett évekig tartós, kisebb elmozdulások után újra adaptálható, kivehető. Hátránya: viselése megszokást igényel, kivehető.
Splint:
Súlyosabb funkcionális eltérések után használandó, alsó-felső állcsont egymáshoz való viszonyát hivatott stabilizálni. Ezt a készüléket elegendő csak éjszaka viselni. Előnye: az első benyomások után kényelmes, kivehető, megőrzi funkcionális kezelés eredményeit. Hátránya: viselése megszokást igényel, kivehető.
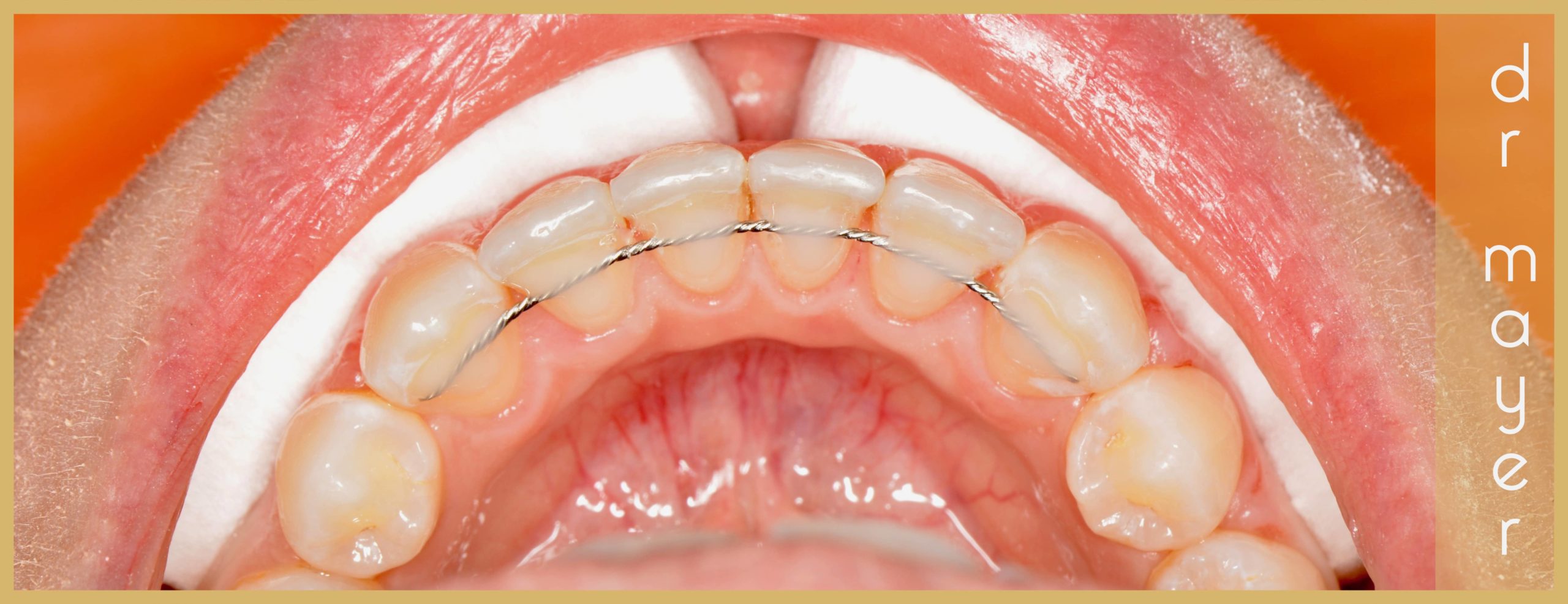
Fix retainer:
Az elülső fogak nyelv felőli felszínére ragasztott páciens által el nem távolítható helyben tartó készülék: Előnye: nem lehet elfelejteni a használatát, láthatatlan, kényelmes. Hátránya: tisztítására külön figyelmet kell fordítani, leeshet.
Hogyan kell használni ezeket a készülékeket?
Rendelőnkben az Amerikai Orthodontus Társaság (American 
- Készülékek használati ideje?
– Fogszabályozó levétele utáni első 3 hónap: 14-16 órás retenció.
– Fogszabályozó levétele utáni 6-12 hónap: napi 10-12 órás retenció.
– Fogszabályozó levétele utáni 12-24 hónap: 8 órás (éjszakai) retenció.
– Fogszabályozó levétele utáni 24. hónaptól: folyamatos leszoktatás után heti 1x-2x éjszakára érdemes berakni a retenciós készüléket - Milyen készüléket használjunk?
– Gyermekkorban: Hagyományos retenciós készülék a javasolt, mivel könnyen után állítható
– Felnőttkorban: Mélyhúzott sín a javasolt, mivel nagyon precízen képes helyben tartani a fogakat
– Súlyos funkcionális eltérések után: Éjszakára Splint készülék, nappalra mélyhúzott sín. Mivel csak így elérhető, hogy a két állcsont egymáshoz való viszonyát rögzítsük.
– Fix retainer használata minden esetben javasolt! -
Milyen gyakori kontrollok szükségesek a retenciós fázis alatt?
– Az első 12 hónapban 3 havonta, a második 12 hónapban 6 havonta szükséges kontroll időpontokon megjelenni.– Természetesen egyik eset sem egyforma, ezért nem mindenkinél ugyanazok a szabályok érvényesek. Nagyon sok függ a kiindulási állapottól, a kezelés menetétől, így pontosat csak a kezelés végén mondunk a pácienseinknek.
De akkor, hogyan lesz stabil az elért kezelési eredmény???
-
Már a kezelés alatt nagyon fontos betartani a kezelőorvos utasításait! Ha nem lesz a lehető legjobb az eredmény, nem lehet biztosítani a stabilitást.
-
Kezelés után nagyon fontos betartani a retenciós szabályokat!
-
Ha bármi történne a retenciós készülékekkel (leesik, eltörik, elveszik, stb…) azonnal jelezze!
-
3 havonta jelentkezzen kontrollra!
-
Bármilyen elmozdulást tapasztal, amiről előre nem tájékoztattuk, rögtön jelezze! Minimális elmozdulások könnyebben kezelhetőek!
Az OPTIMUM Fogászatnál a döntés csak az Ön kezébe van! A szakmai részét a rendszeres külföldi továbbképzésekkel, a modern készülékekkel, a modern kezelési stratégiák ismeretével Mi biztosítjuk.
Visszarendeződtek a fogai a fogszabályozó kezelés után? Szeretné újra sorba állítani a fogait, de utoljára? Kérjen egy időpontot szakorvosi konzultációra és elmondjuk, hogyan tudunk ebben segíteni!











