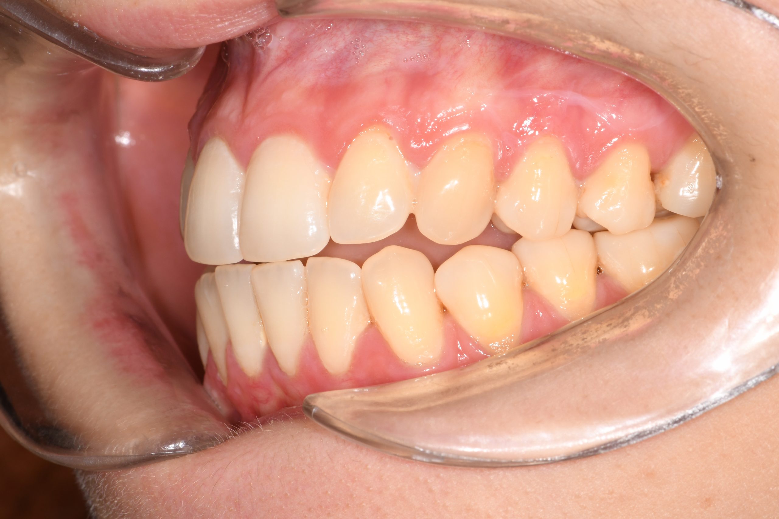
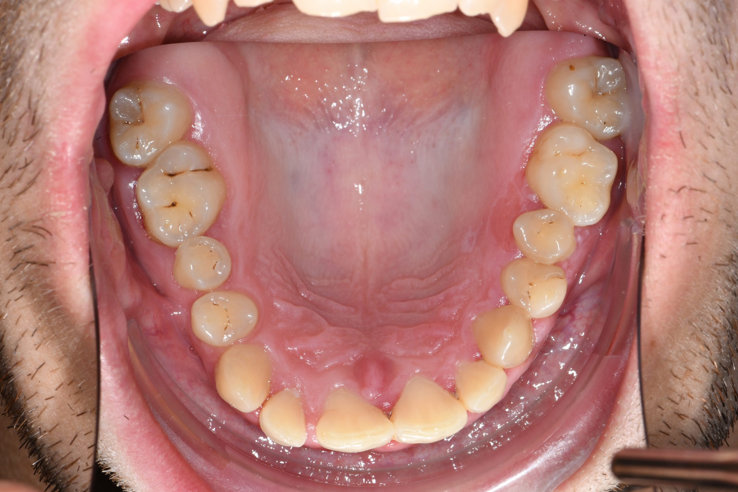
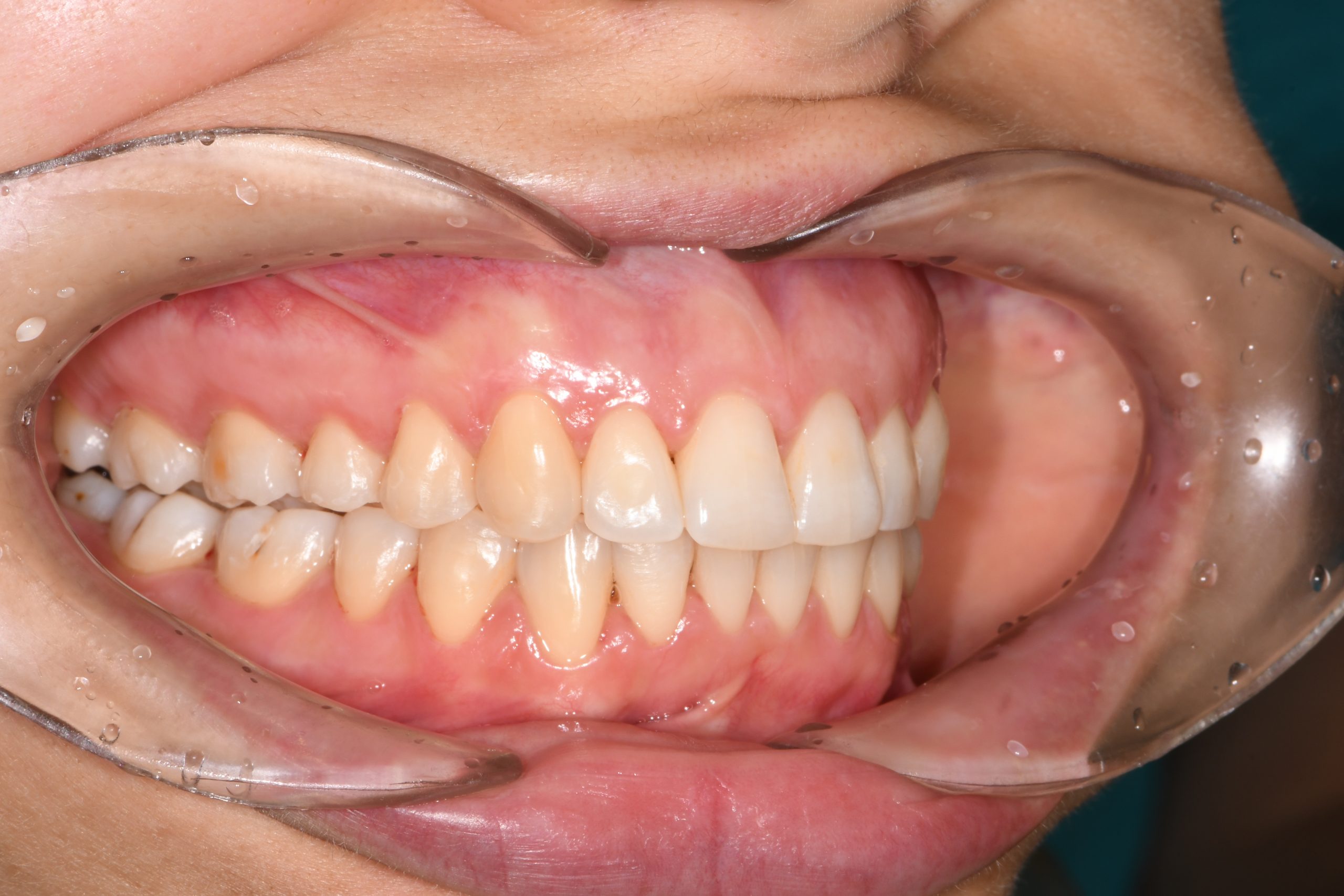
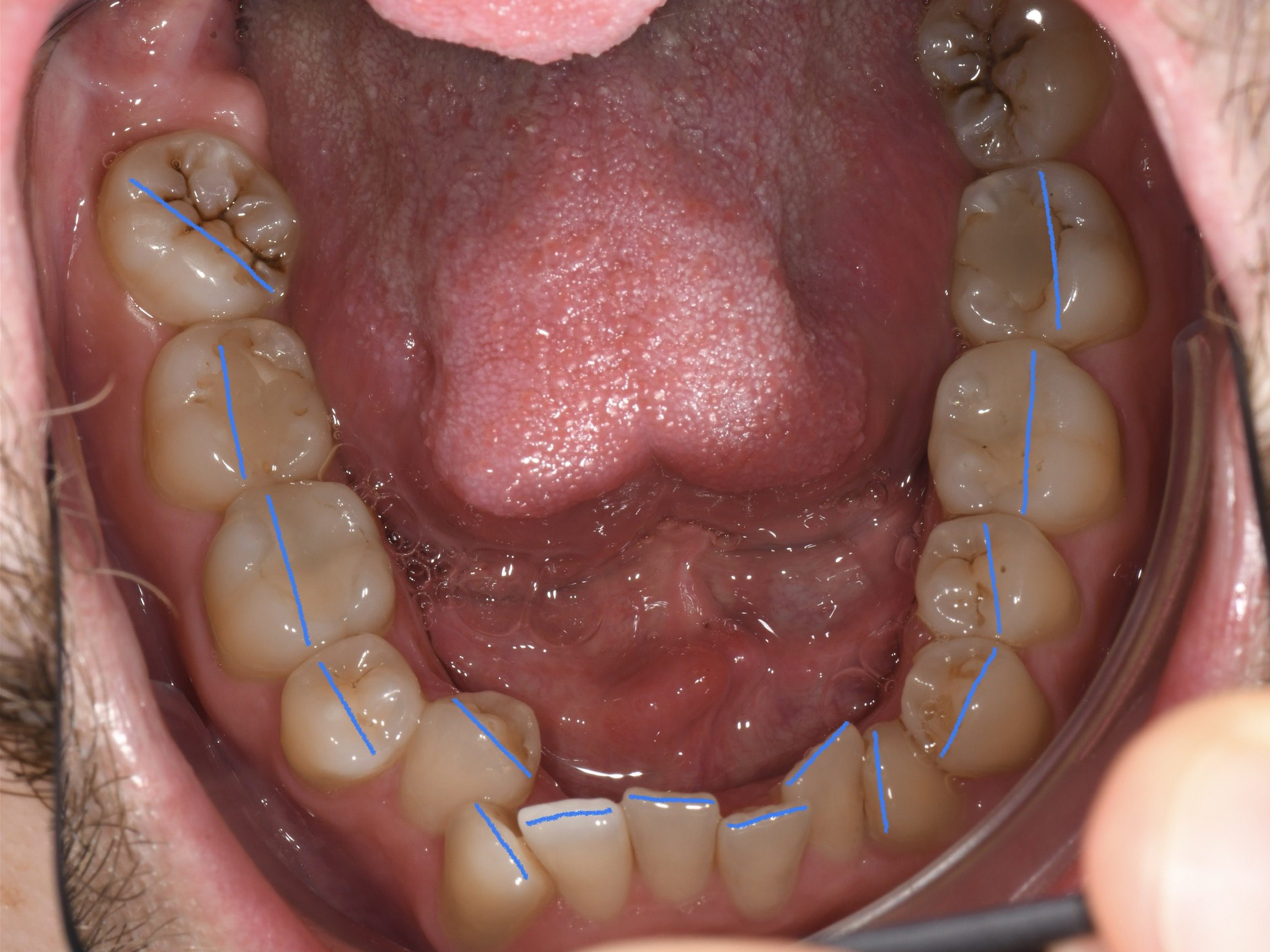
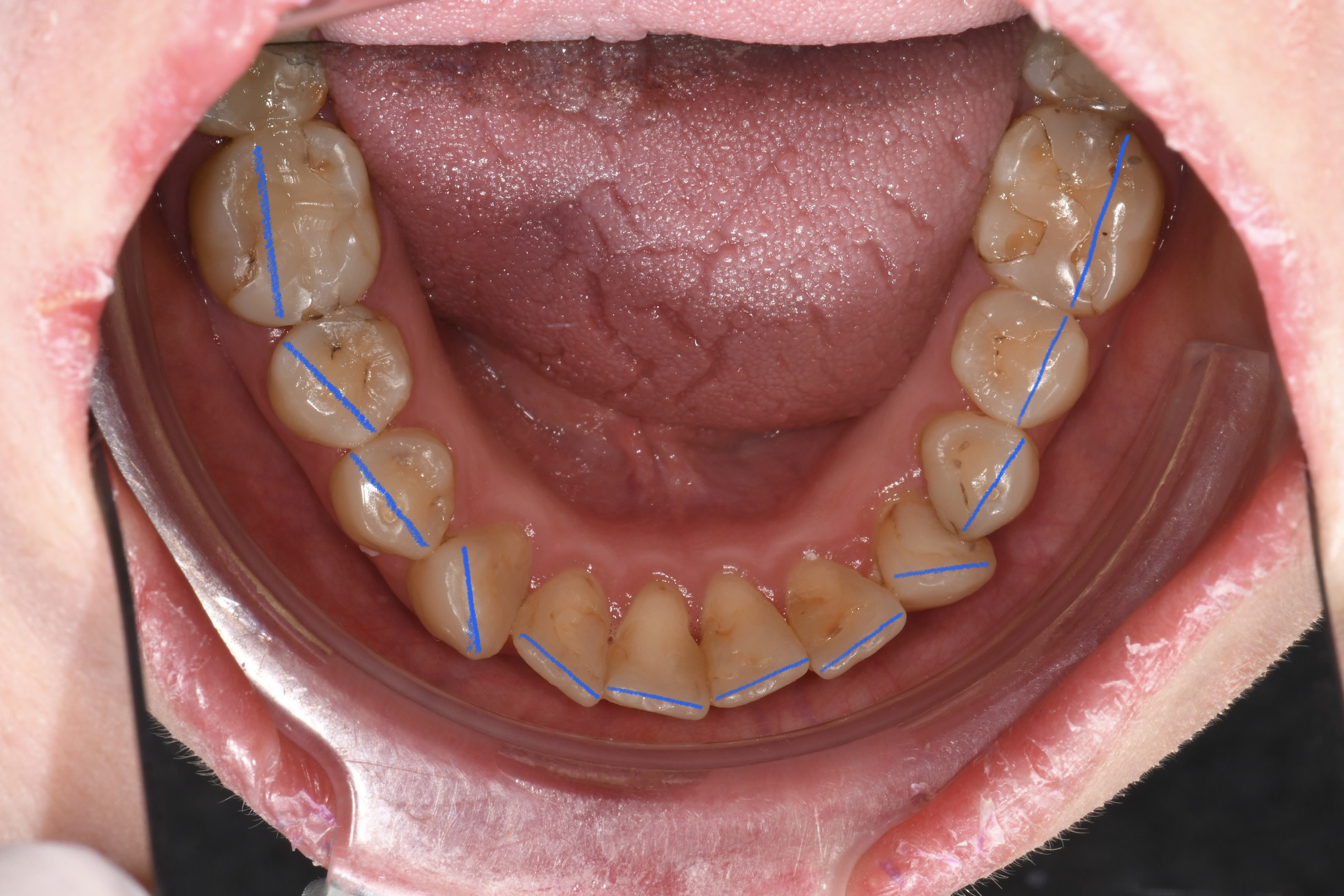
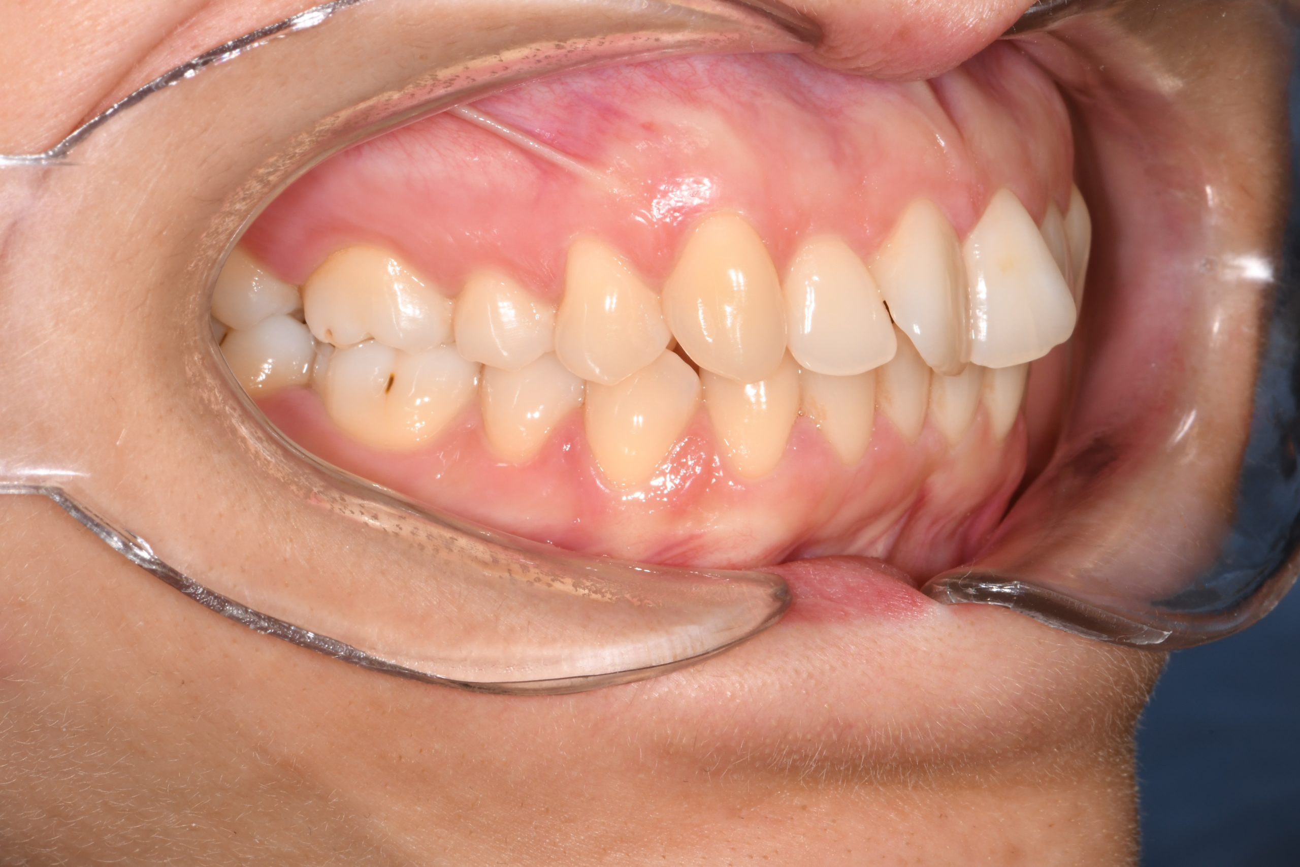
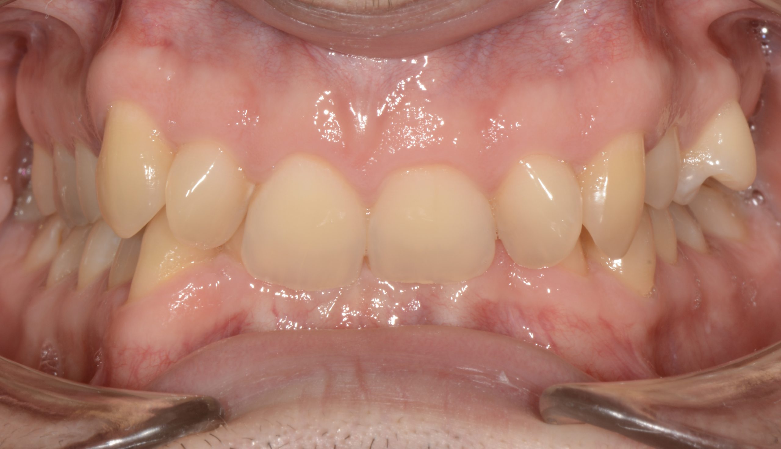
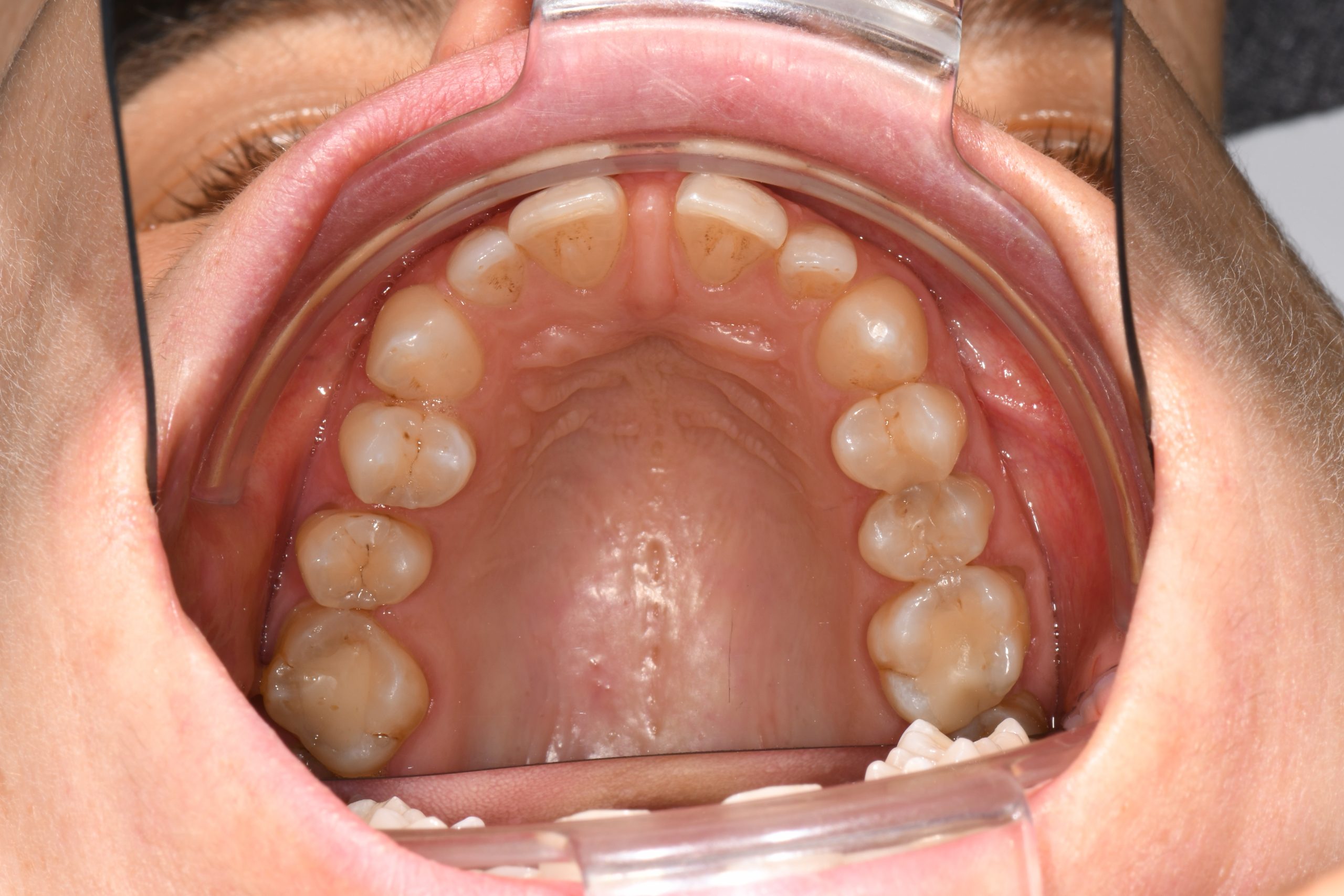
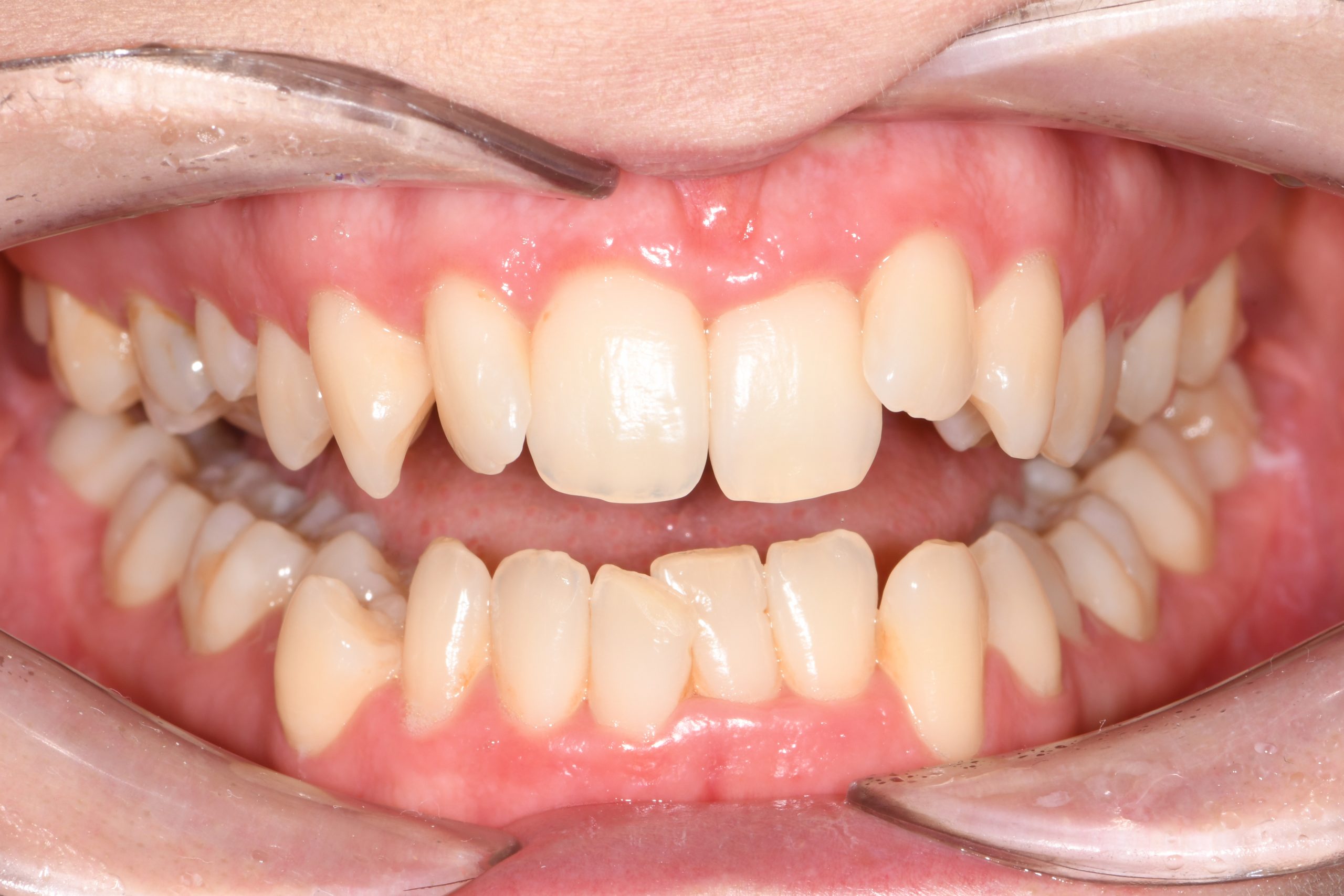
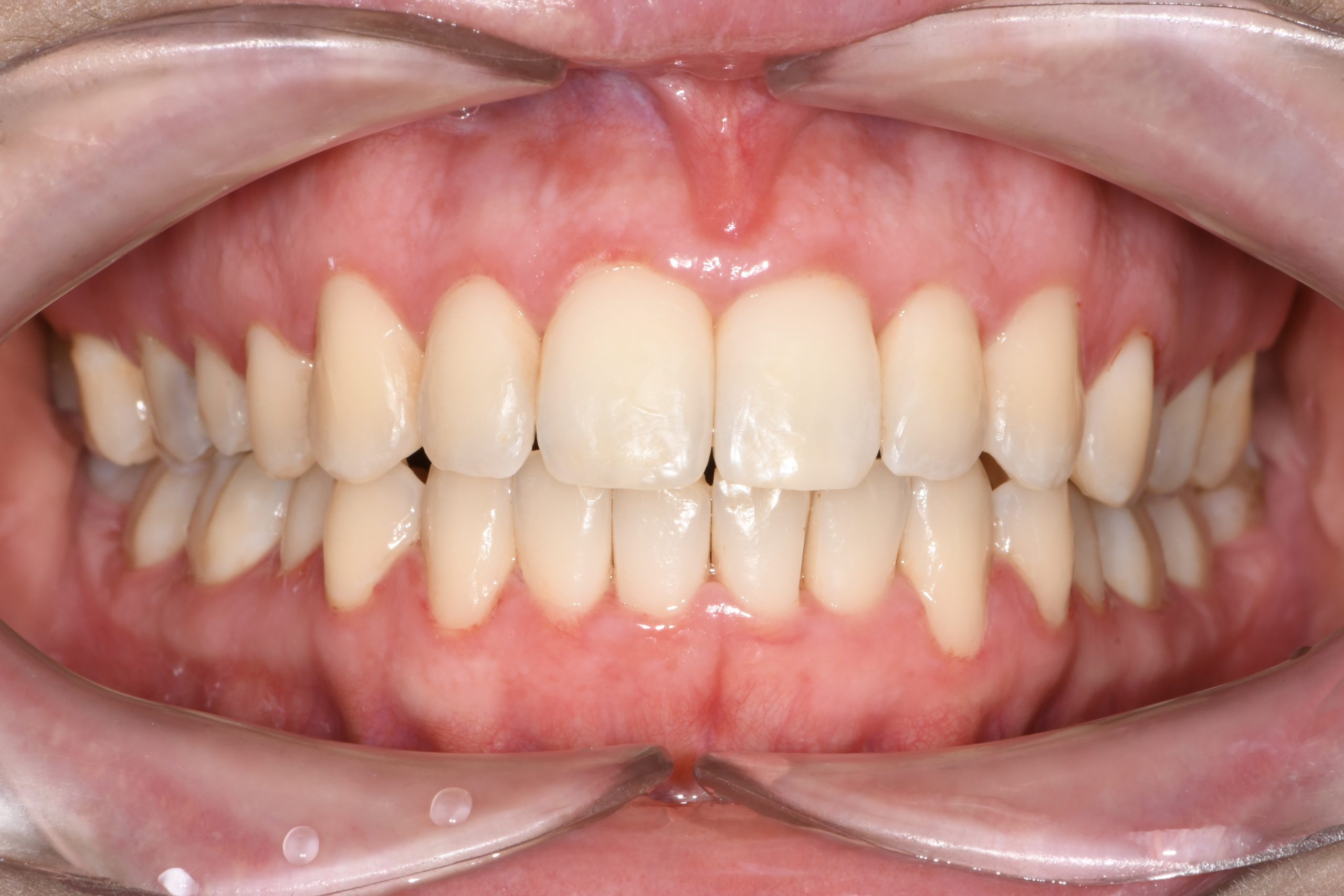
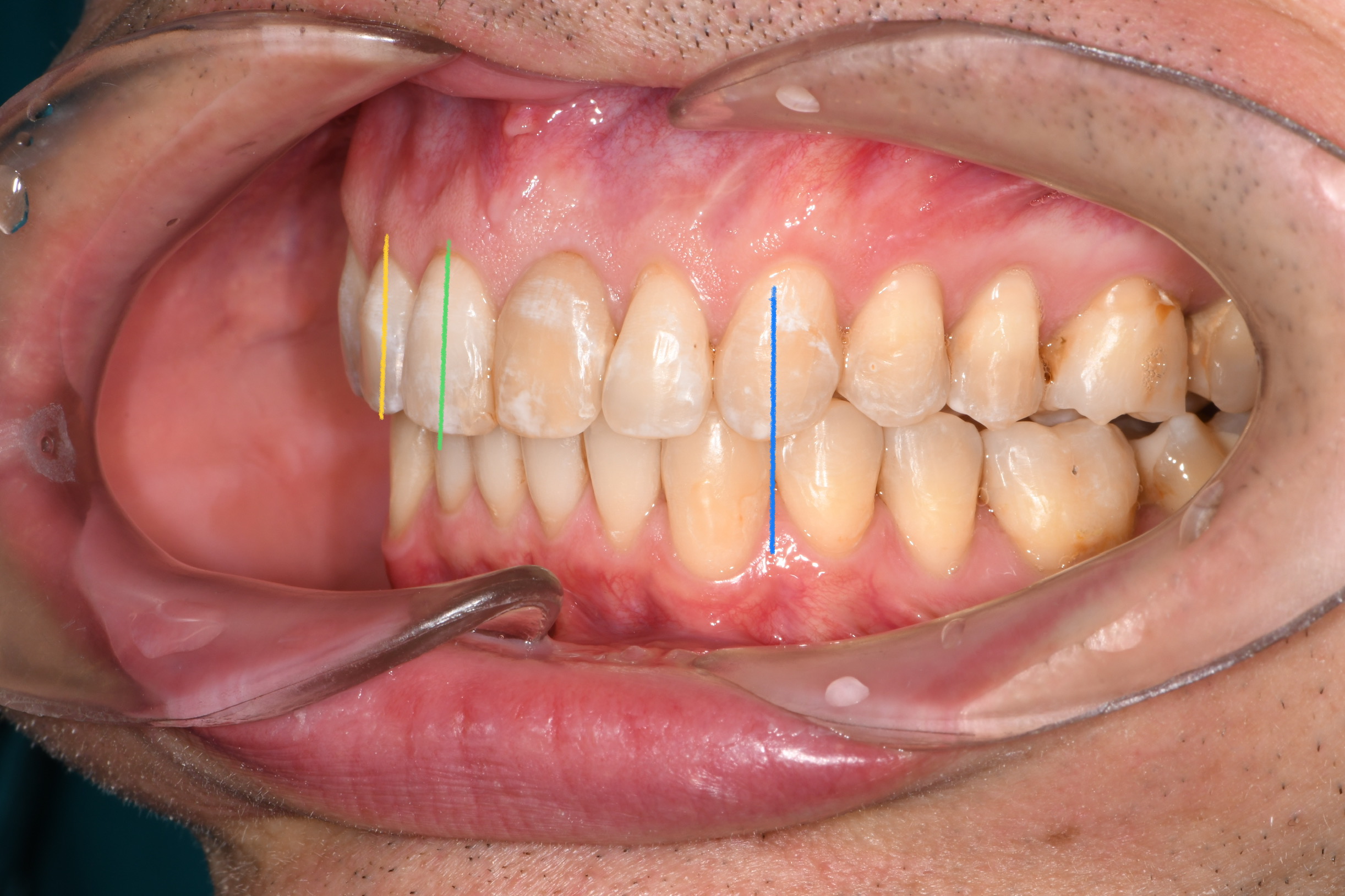
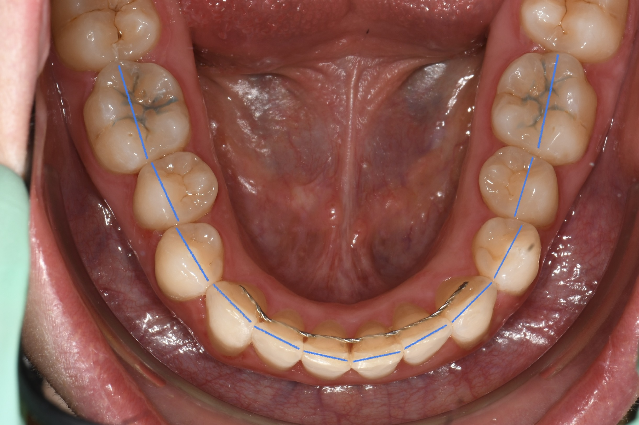
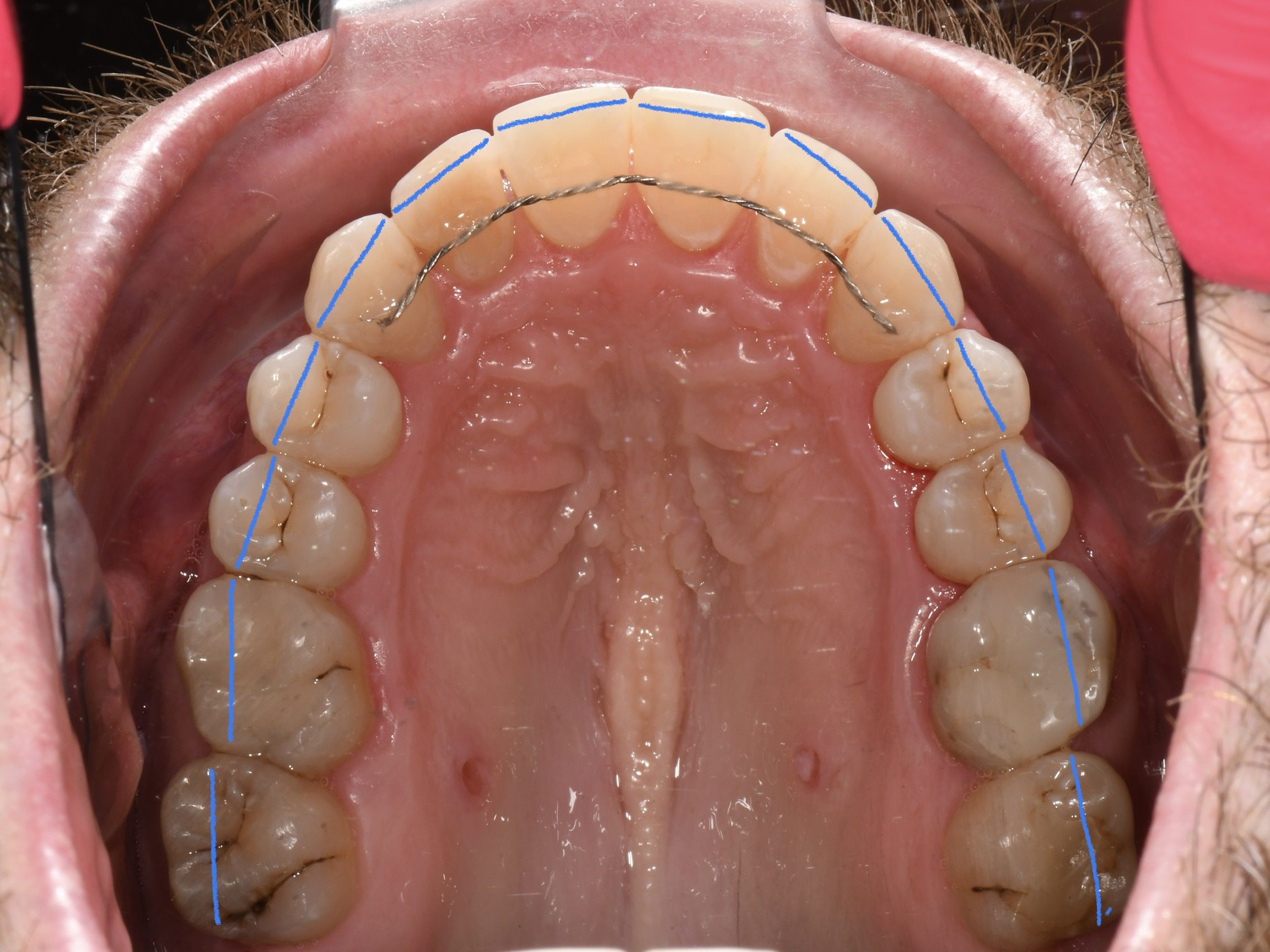
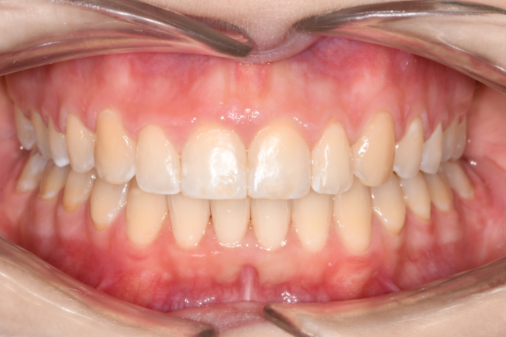
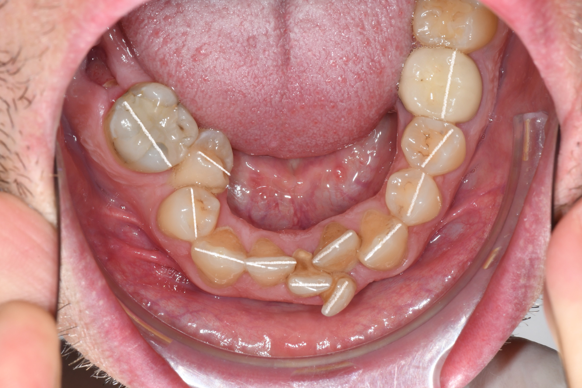
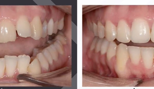
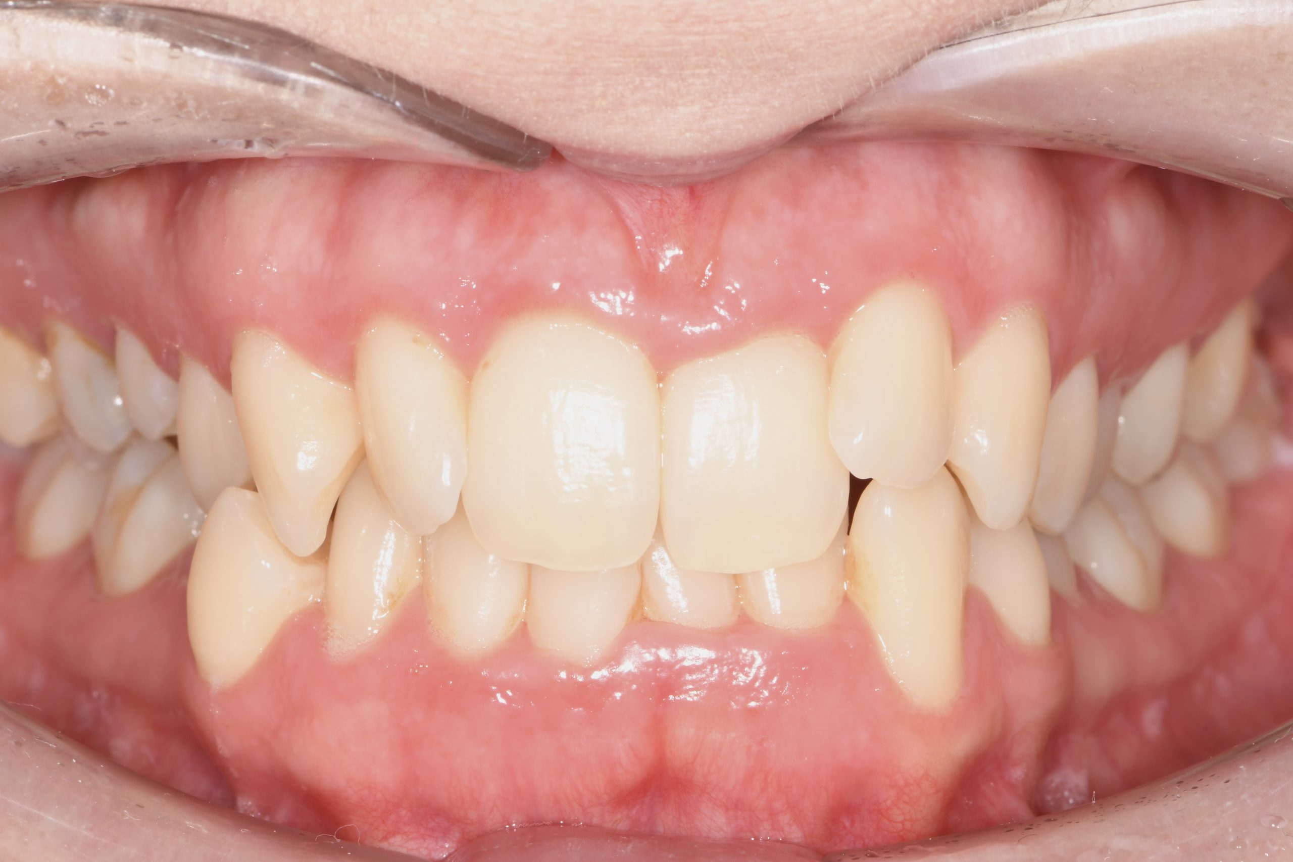
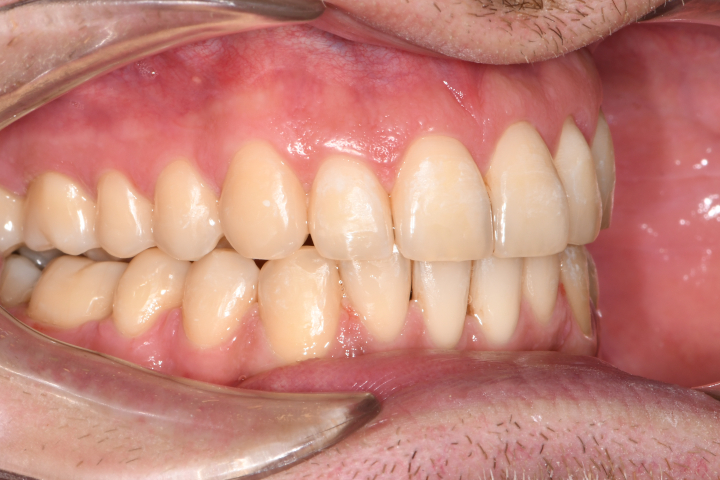
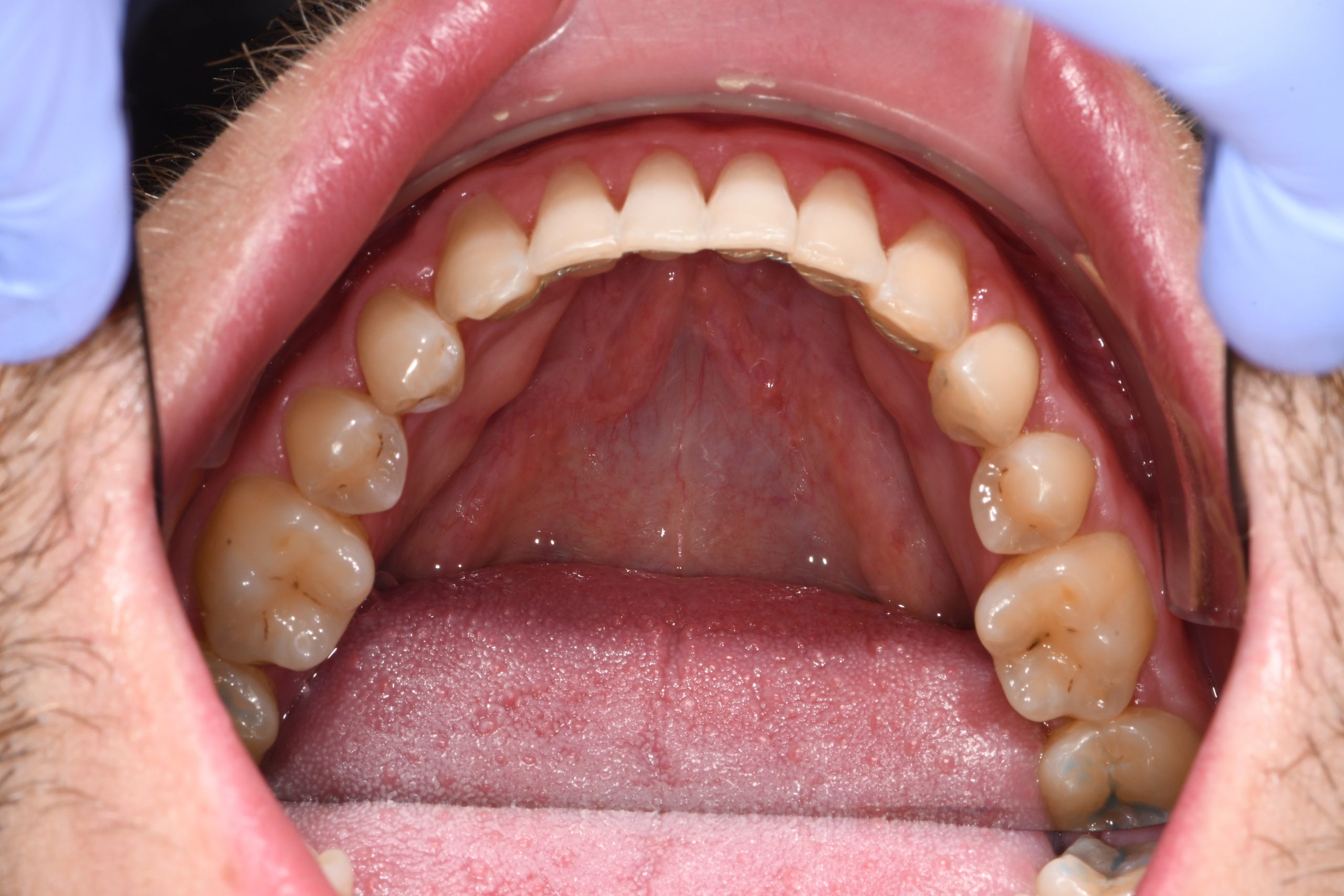
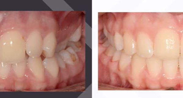
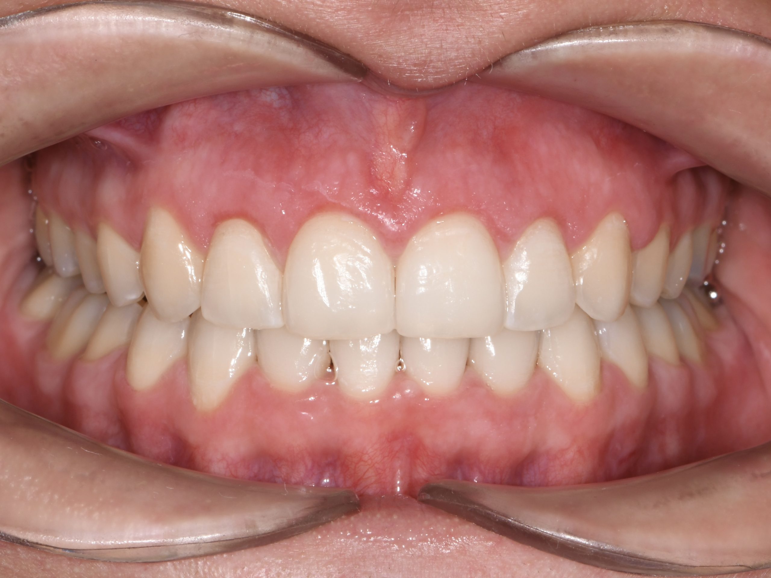
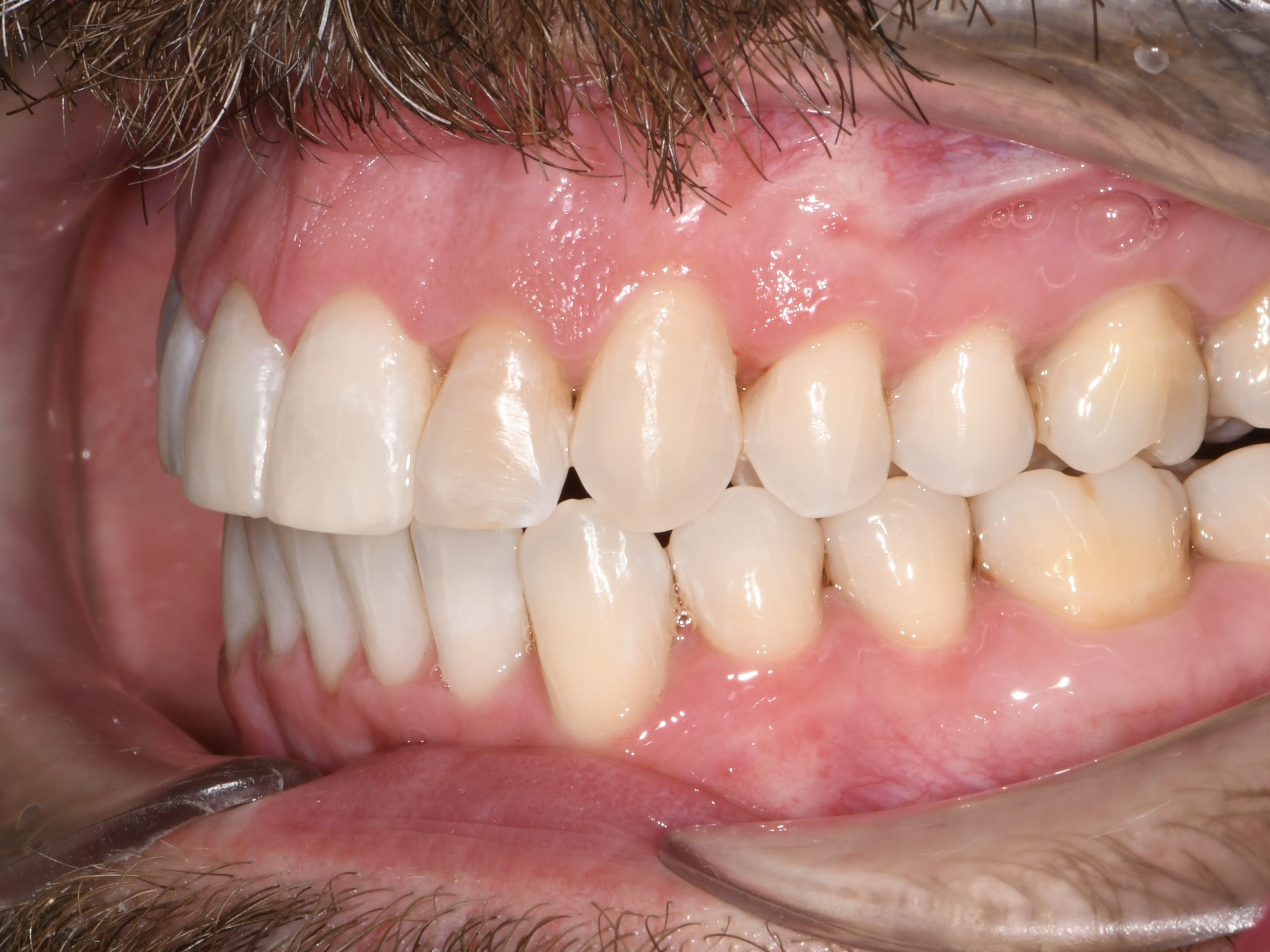
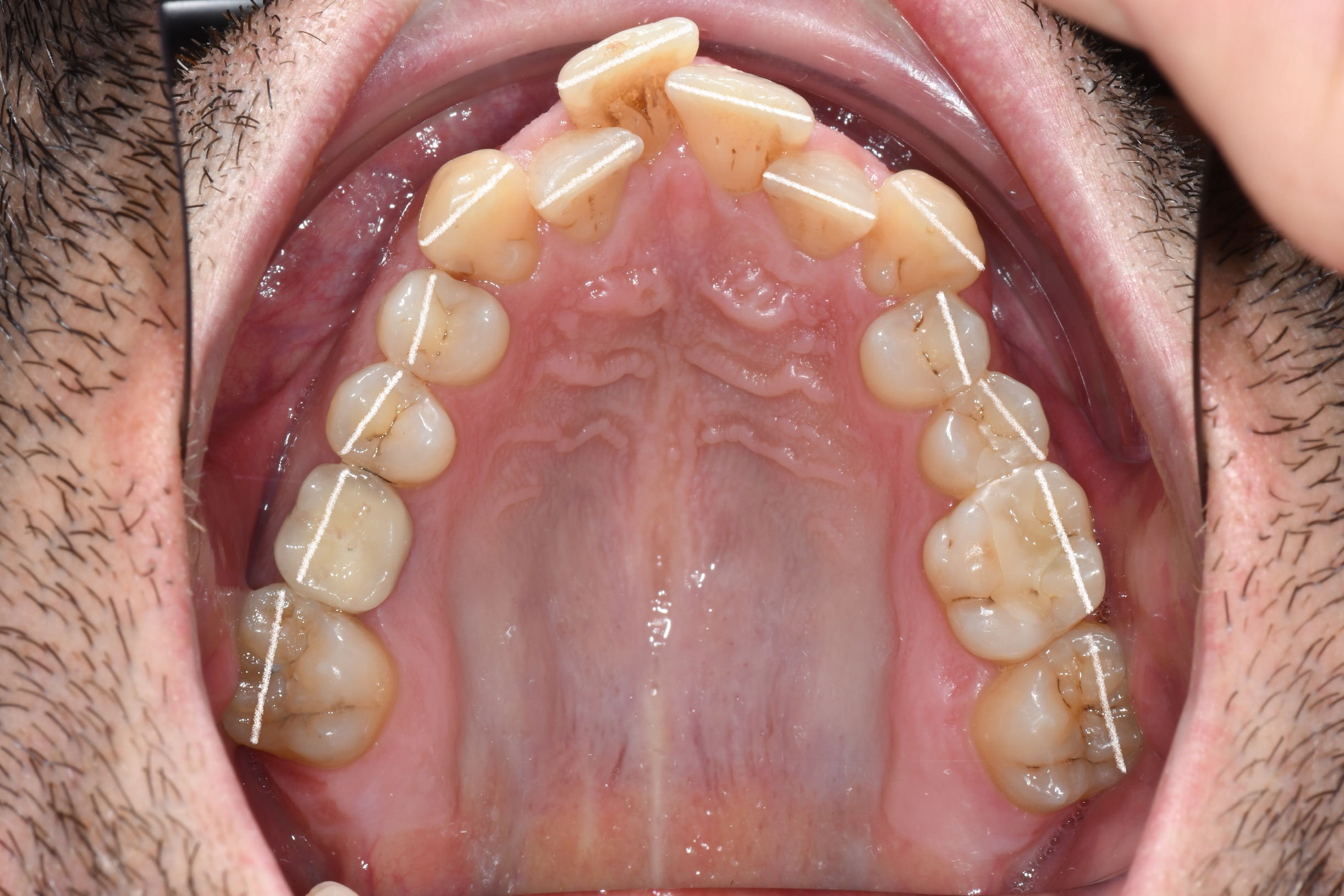
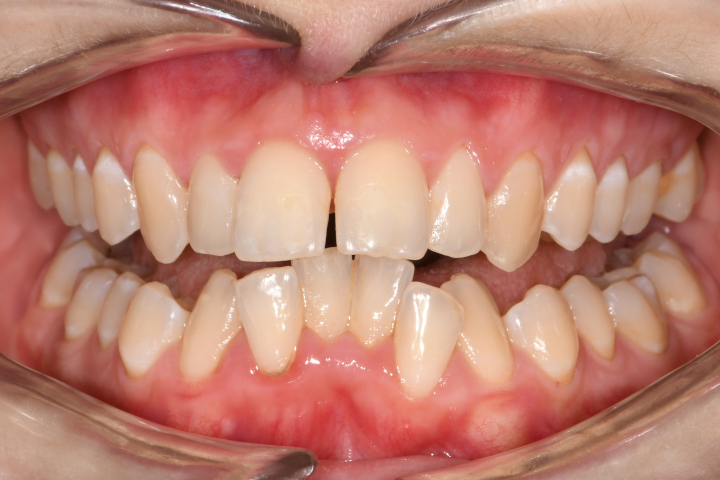
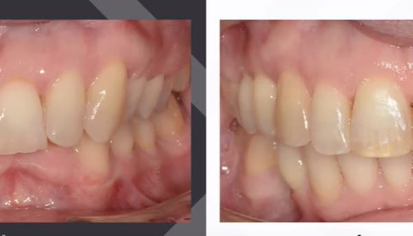
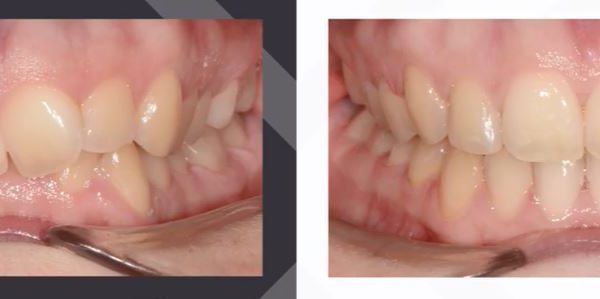
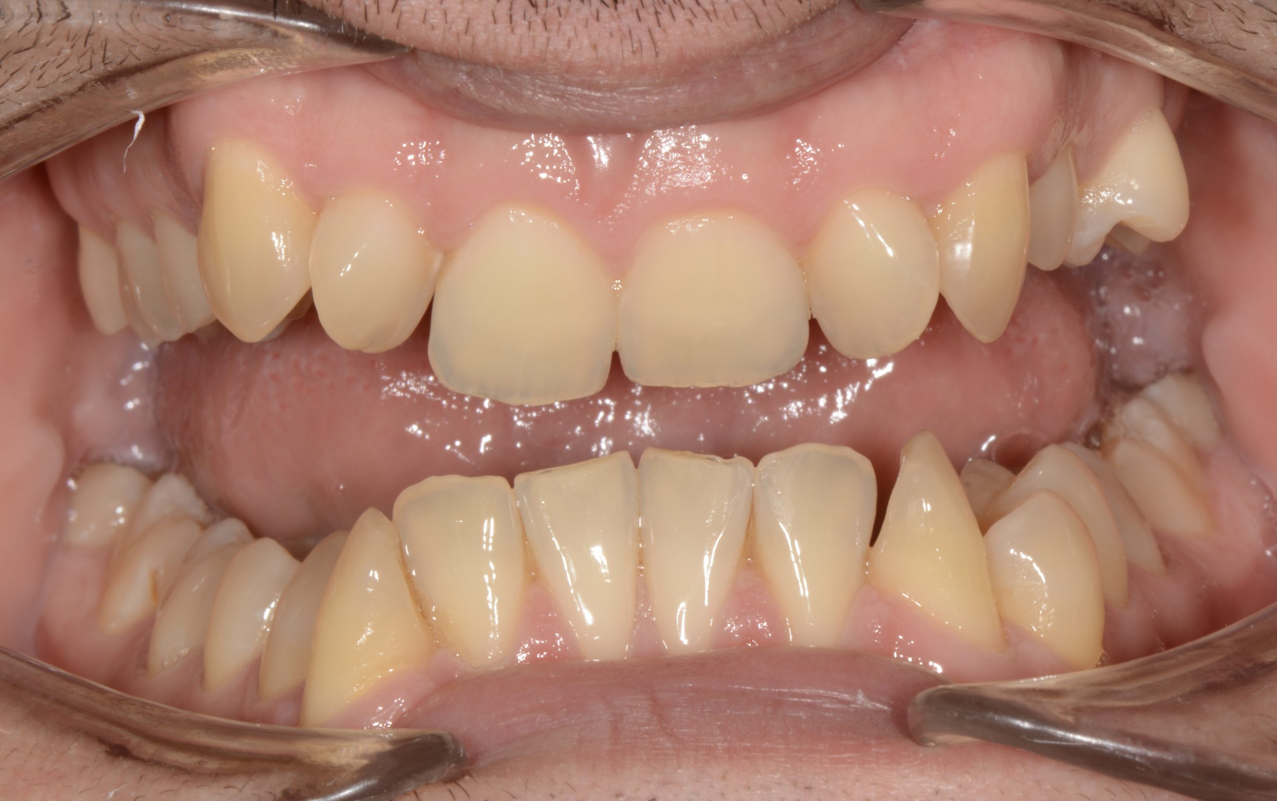
Az elmúlt évekből rengeteg szakmai referenciát tudnánk bemutatni, amelyek különböző fogszabályozási problémákat oldottak meg. Válogatva a több száz esetből, ezen az oldalon olyan képeket, információkat igyekeztünk bemutatni, amelyeknek a segítségével a jövőbeni pácienseinknek azt tudjuk üzenni: A Te fogsorod is lehet gyönyörű!
(Képeket a Pácienseink külön írásos beleegyezésével mutatjuk be!)